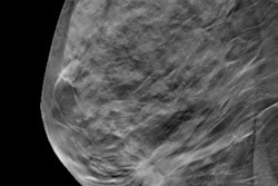
Scottsdale, AZ-based outpatient medical imaging provider SimonMed has launched two new AI-enhanced mammogram services to support early breast cancer detection and preventative care.
The two offerings are called Mammogram+ and Mammogram+ Heart. Mammogram+ is designed to identify breast cancer earlier and to offer women insights into their breast density and lifetime risk. It replaces the company's Personalized Breast Cancer Detection program.
Mammogram+ Heart incorporates an AI-based assessment of breast arterial calcification on mammography imaging -- an emerging clinical marker linked to cardiovascular risk in women. The package allows for detection of both breast cancer and early signs of heart disease in a single appointment, according to SimonMed.
Mammogram+ and Mammogram+ Heart are available at SimonMed locations around the U.S. as add-ons that can be included with a standard screening mammogram, with Mammogram+ for an additional $50 and Mammogram+ Heart for an additional $90, the company said. No referral is needed for patients to include either service as part of their regular mammogram, it noted.



















