
Dual-energy contrast-enhanced full-field digital mammography (FFDM) finds additional cancers in the breast with better specificity than MRI, according to a new study published online in Radiology. The findings suggest that contrast mammography could be a feasible alternative to more expensive breast MRI scans.
A team led by Dr. Maxine Jochelson of Memorial Sloan-Kettering Cancer Center explored the viability of dual-energy contrast digital mammography, and they evaluated the technique's performance compared to conventional digital mammography and breast MRI in women with known breast cancer.
Mammography is the only modality shown to reduce breast cancer deaths; however, it's imperfect, with an overall sensitivity of 75% to 85%, which can drop to as low as 30% to 50% in women with dense breast tissue or a BRCA gene mutation, Jochelson's group wrote. Breast MRI tends to be more sensitive, but its specificity is limited and the modality tends to be expensive, time-consuming, and not always easily available (Radiology, December 6, 2012).
What's exciting about dual-energy contrast mammography is that it offers the potential for better sensitivity than conventional mammography, due to the fact that it can delineate increased blood flow associated with cancer, according to the authors.
"If mammography could map blood flow, some of its shortcomings in cancer depiction might be obviated," they wrote. "It could then be substituted for MR imaging in those patients who are not candidates for MR imaging."
Jochelson's team gathered participants for the study between March 2010 and August 2011. The group evaluated the technique's feasibility in 10 women with newly diagnosed breast cancer who were injected with 1.5 mL per kg of body weight of iohexol (Omnipaque, GE Healthcare) and imaged between 2.5 minutes and 10 minutes after contrast administration. Once the researchers confirmed feasibility, 52 women with newly diagnosed cancer who had undergone breast MRI underwent dual-energy contrast digital mammography, using a Senographe DS system adapted for use with contrast.
Breast MRI and the dual-energy technique both depicted 50 (96%) of 52 index tumors; conventional mammography identified 42 (81%). Of the 52 patients, 47 had invasive ductal carcinoma with or without ductal carcinoma in situ (DCIS), three had infiltrating lobular carcinoma, one had DCIS only, and one had DCIS with microscopic invasion, Jochelson's team wrote.
Lesions found by dual-energy contrast digital mammography ranged from 4 mm to 67 mm. The technique produced two false positives, compared with 13 false positives for MRI.
Breast MR did beat dual-energy mammography in the ability to depict additional sites of malignancy: 16 patients had multifocal or multicentric cancers, and MRI depicted 15 (94%) of these additional sites, while dual-energy contrast mammography found nine (56%). Twenty-five additional ipsilateral lesions were found in these 16 patients: Breast MRI identified 22 of these ipsilateral lesions (88%), dual-energy contrast mammography found 14 (56%), and conventional digital mammography found four (25%).
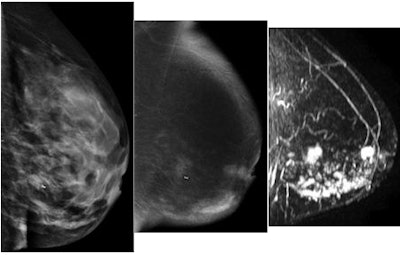
![]() |
| 39-year-old woman with infiltrating ductal carcinoma and extensive DCIS who presented with left breast pain and nipple retraction. Left mediolateral oblique conventional digital mammography image (left) shows dense breast tissue. Left mediolateral oblique dual-energy contrast mammography (middle) and sagittal subtraction MR (right) images show multicentric disease. Marker clip can be seen on left and middle images. All images courtesy of RSNA. |
Dual-energy contrast mammography "had a lower sensitivity for detecting additional ipsilateral cancers than did MR imaging, but the specificity was higher," the authors wrote. "We were able to show that [dual-energy contrast mammography] was comparable to MR imaging for the depiction of the index tumor in patients with known breast cancer."
If dual-energy contrast mammography can visualize breast cancers in a fashion similar to MRI, it could theoretically be used for breast cancer screening, according to Jochelson.
"Although MRI is a great technology, it is very expensive and not universally available," she told AuntMinnie.com. "And there is a large number of women at increased risk for breast cancer who do not meet the guidelines for breast MRI and for whom we have no definite recommended additional tests. Contrast-enhanced mammography might be useful in those women. There's also increasing concern regarding additional testing for women with dense breast tissue without any proven specific alternative tests."
Dual-energy contrast digital mammography could be useful in patients with dense breast tissue; however, Jochelson pointed out that the current study did not demonstrate the ability of detecting breast cancer in a purely screening setting. Prospective screening trials would be necessary in this regard, she said.






















