
Bone scintigraphy of the chest cavity can easily reveal malignant disease to clinicians. However, those clinicians may also have to determine if a site of single rib uptake on bone scintigraphy is a matter of metastasis or simply a fracture. Making that distinction is especially important as the population ages and is more susceptible to injury, according to South Korean radiologists. They found success with ultrasound in their patient population.
"In older patients or patients in poor general condition, rib or costochondral fractures are easily produced by minor trauma such as coughing, exercise, and nonrecalled contusion," wrote Dr. Sang Hyun Paik from Soonchunhyang University Bucheon Hospital in Bucheon. "High-resolution sonography can detect a fracture in six times as many patients as radiography and will detect 10 times more fractures than radiography" (American Journal of Roentgenology, March 2005, Vol. 184:3, pp. 969-974).
Paik's co-authors are from Sungkyunkwan University School of Medicine, Samsung Medical Center, and Seoul National University College of Medicine, all in Seoul.
For this yearlong study, 58 consecutive patients (mean age of 60.6 years) underwent bone scintigraphy, chest x-ray, and sonography. All showed hot-uptake rib lesions on bone scintigraphy, and the majority had primary malignant lesions from lung cancer.
Chest CR was performed in the anteroposterior position and in both oblique lateral positions (FCR-5000, Fujifilm Medical Systems USA, Stamford, CT). Ultrasound exams were performed on a 5- to 12-MHz linear-array unit (HDI 3000 and 5000, Philips Medical Systems, Andover, MA). Imaging was performed parallel to the long axis of the rib, as well as along the entire length of each rib from the costosternal to the costovertebral junction. Sonograms were reviewed for five specific findings: cortical disruption, callus formation, cortical deformity (angulation, stepping), bone destruction, and mass.
![]() |
![]() |
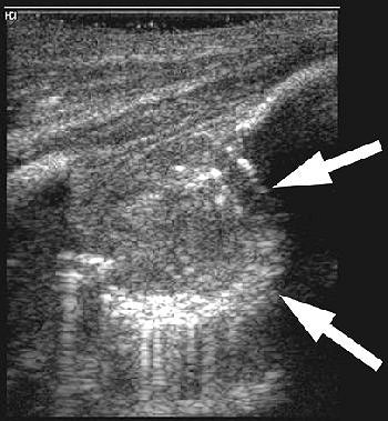
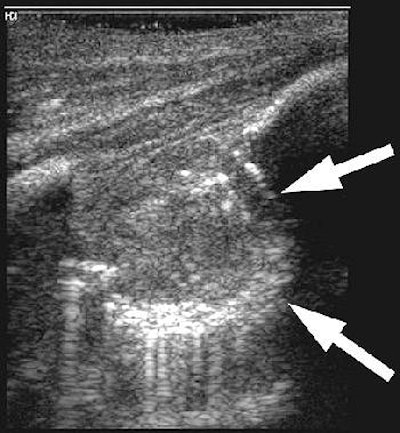
| Forty-seven-year-old man with lung cancer and confirmed rib metastasis. Above, bone scintigram shows active uptake at right fourth rib (arrow). Middle, radiograph shows mass formation and blurring of inferior rib margin (arrow). Below, sonogram shows bone destruction and mass formation (arrows). Paik SH, Chung MJ, Park JS, Goo JM, Im JG, "High-Resolution Sonography of the Rib: Can Fracture and Metastasis Be Differentiated?" (AJR 2005; 184:969-974). |
![]() |
Of the 58 patients, 55 had a rib fracture (37) or rib metastasis (18), according to the results. Eleven patients showed a solitary hot-uptake lesion on bone scintigraphy, six of whom had rib metastasis and five had a rib fracture.
In 96% of the cases, rib lesions were matched on bone scintigraphy and sonography. The latter revealed 94% of metastasis (17 of 18). On ultrasound, the majority of metastases were seen as bone formation (13 of 18). For fractures, sonography revealed 97% of the cases (36 of 37), with cortical disruption with or without hematoma (17 of 37) seen most often. Cortical deformity was revealed in a dozen instances.
"If bone scintigraphy showed an increased uptake in the rib cage and sonographic findings for the rib were negative, traumatic fracture could be ruled out," the authors concluded. "This suggests metastasis, which requires further evaluation."
While previous studies have indicated that ultrasound has limited value in chest disease, they added that in this instance, the modality does have advantages over x-ray. Radiographs may not be sensitive enough to highlight a fracture when osteopenia is present. However, sonography's ability to clearly delineate cartilage from adjacent muscle may render it useful in patients with unexplained chest pain but a negative x-ray for fracture.
By Shalmali Pal
AuntMinnie.com staff writer
March 31, 2005
Related Reading
MR keeps stress fractures from becoming career wreckers, December 9, 2004
Rowers facing more rib stress factures, August 23, 2004
Copyright © 2005 AuntMinnie.com






















