Abbreviated breast MRI performs comparably to full-protocol MRI when assessing tumor response to neoadjuvant chemotherapy for breast cancer, with faster interpretation times and only a modest reduction in specificity, researchers have reported.
The findings could translate into more tailored patient care, according to a team led by Roberto Lo Gullo, MD, of Memorial Sloan Kettering Cancer Center in New York City. The results were published April 14 in Radiology.
"The comparable diagnostic performance of abbreviated MRI to full-protocol MRI has potential implications for emerging de-escalation strategies following neoadjuvant chemotherapy," the group noted. "Recent studies suggest that a complete imaging response on MRI scans may obviate the need for surgery, provided that a repeat biopsy targeting the tumor region after neoadjuvant chemotherapy yields benign results, which could impact the choice of abbreviated MRI versus full-protocol MRI."
Neoadjuvant chemotherapy is the standard approach for treating locally advanced breast cancer, the group explained, noting that treatment response is monitored by full-protocol MRI. Full-protocol MRI is more comprehensive and better suited for staging newly diagnosed breast cancer, but "several studies have suggested that abbreviated MRI may be sufficient in assessing treatment responses, with comparable diagnostic performance in selected settings," Lo Gullo and colleagues wrote. But data regarding the use of abbreviated breast MRI for this indication are limited.
To address the knowledge gap, the researchers analyzed data from 478 women (mean age, 51 years) who underwent full-protocol breast MRI before and after neoadjuvant chemotherapy between January 2016 and May 2020, followed by surgery. The abbreviated protocol consisted of axial T2-weighted, precontrast T1-weighted, and early postcontrast T1-weighted sequences, and was derived from the full-protocol data. The shorter protocol findings were then interpreted by three breast radiologists in a separate reading session, with a four-week washout period before full-protocol reads. The readers classified results as complete, partial, stable, or progressive disease; Lo Gullo's group compared abbreviated MRI and full-protocol MRI using two polymerase chain reaction (PCR) definitions: the absence of invasive cancer and the absence of both invasive cancer and ductal carcinoma in situ.
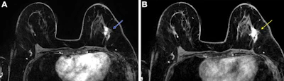
Post-neoadjuvant chemotherapy (NAC) MRI scans in a 66-year-old woman with invasive breast cancer show a lesion that appears fragmented in the first postcontrast axial T1-weighted image (arrow in A) but becomes more conspicuous and homogeneous in the last delayed phase (arrow in B). Despite these visual differences, response classification was identical between abbreviated and full diagnostic MRI. Pathologic analysis confirmed a partial response with residual invasive carcinoma.RSNA
Overall, the group reported no difference between abbreviated MRI and full-protocol MRI across PCR definitions and readers in sensitivity, negative predictive value, positive predictive value, or overall accuracy (all p < 0.22). The team did find that full protocol MRI was more specific than abbreviated protocol MRI, but abbreviated MRI demonstrated a clear interpretation time advantage.
Performance comparison between full and abbreviated protocol breast MRI | |||
Measure | Full protocol MRI | Abbreviated MRI | P-value |
| Median interpretation time | 42 to 64 seconds | 39 to 44 seconds | < 0.001 |
Specificity | |||
| PCR definition 1 (absence of invasive cancer) | 85.4% | 82.1% | 0.047 |
| PCR definition 2 (absence of both invasive cancer and ductal carcinoma in situ) | 88.6% | 85.4% | 0.047 |
The authors concluded that while the specificity trade-off deserves consideration, abbreviated MRI could serve as a viable, time-efficient option for treatment response assessment in many clinical settings, particularly where workflow efficiency is a priority.
In an accompanying editorial, Priscilla Slanetz, MD, of Dartmouth Hitchcock Medical Center in Lebanon, NH, and Eren Yeh, MD, of Brigham and Women's Hospital in Boston affirmed that abbreviated breast MRI "appears promising to improve patient experience through its shorter scanning times while still affording similar diagnostic performance to a full breast MRI protocol," but cautioned that "implementation into practice requires prospective evaluation across multiple practice sites, practice settings, and patient populations."
Access the full study here.



















