
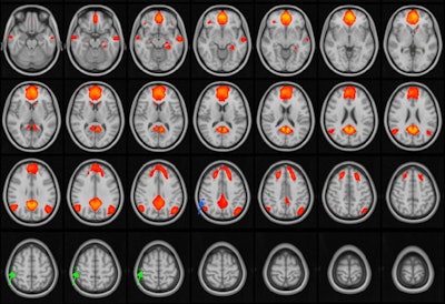
Functional MRI (fMRI) shows that adolescents and young adults who have sustained three to five concussions have disrupted brain connectivity in their default mode network, according to study results being presented at the RSNA 2021 meeting in Chicago.
The default mode network is activated when people are daydreaming, thinking of the future, or recalling memories, a team led by Dr. Thomas Johnson, PhD, of the University of Rochester Medical Center in New York. This network crosses the medial prefrontal cortex, the posterior cingulate cortex, the inferior parietal lobule, the temporal cortex, and the hippocampus. Changes to the network are associated with a range of diseases and disorders.
"I think of the default mode network as the idle state of the brain, similar to an idling engine," Johnson said in a statement released by the RSNA.

Public awareness of the long-term effects of concussion has increased, as has research regarding these effects, Johnson noted. But there has been little research on the topic using fMRI.
So the investigators conducted a study that included 142 adolescents and young adults (mean age, 18 years) who had experienced concussion and presented at the university's concussion clinic for symptoms such as headaches, dizziness, fatigue, and irritability. These participants were age- and sex-matched with 27 healthy controls; all had fMRI scans. Those who had sustained concussion underwent imaging between three days and two years after injury.
The researchers found no differences in connectivity in the default mode network in patients who had one or two concussions compared with healthy controls. But those who had a history of three to five concussions did have disruptions in the network that were not seen in those who did not.
"We're seeing evidence of a two-tier disease," Johnson said in the RSNA statement. "Experiencing several concussions is a very different pathology."
The findings prompt the question of how many concussions are too many -- and how young athletes should be protected, according to Johnson.
"Suffering three to five concussions has the potential for long-term disruption of cognitive processes," he said. "We need to determine our tolerance for concussions. When do we say no more contact sports? We need more evidence to set some limits for people."
Johnson and his colleagues would like to conduct follow-up research in this same patient cohort in five years that will assess whether these brain connectivity disruptions continue.
"Trying to determine the cognitive impacts of concussion over the long-term is tricky to tease out," he said. "Typically, we use standard paper tests. Using fMRI is an advanced mathematical way of looking at the networks in the brain."