
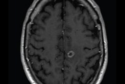
The U.S. Food and Drug Administration (FDA) has granted breakthrough status to Darmiyan's artificial intelligence (AI)-based software, BrainSee, which detects Alzheimer's disease from MRI scans.
BrainSee detects Alzheimer's disease at the early stage of mild cognitive impairment using a brain MRI. The scan does not require an injection or radiation. The software will enable clinicians to select patients who are in the early stages of neurodegeneration for clinical trials, paving the way for potential new therapies and treatments.




















