
Researchers have developed an artificial intelligence (AI) algorithm capable of registering MRI scans roughly 1,000 times faster than standard methods can, according to a poster presentation at the Computer Vision and Pattern Recognition (CVPR) event this week in Salt Lake City.
The group from the Massachusetts Institute of Technology (MIT) created the machine-learning algorithm to speed up the registration of medical images acquired at different times. Clinicians often use image registration to identify any potential changes that may have taken place over time, for example, in a patient with a brain tumor.

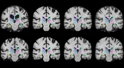
Currently, image registration is time-consuming, and it can take as long as two hours to align MRI scans properly due to the large number of voxels composing each scan, said senior author Adrian Dalca, PhD, in a statement released by the university.
In contrast, the investigators' machine-learning algorithm, VoxelMorph, is capable of completing image registration very quickly; it was able to register 250 brain MRI scans in one to two minutes with a typical computer and in less than a second with a computer that had a state-of-the-art graphics processing unit (GPU).
The key to this high-speed registration was the extensive training the researchers had the machine-learning algorithm undergo. They fed VoxelMorph 7,000 publicly available brain MRI scans from which the algorithm was able to cull information about various groups of voxels and calculate optimized parameters that could be applied to any pair of scans. VoxelMorph's convolutional neural network (CNN) used a mathematical function to calculate the ideal alignment increasingly more quickly after each set of training scans.
More recently, Dalca and colleagues have refined VoxelMorph by making sure it produces no distortions when combining images. They also validated the algorithm's accuracy using a mathematical model. They will present these updates at the upcoming Medical Image Computing and Computer Assisted Interventions (MICCAI) conference in Granada, Spain.
In addition to registering brain MRI scans, VoxelMorph has numerous potential clinical applications, such as analyzing lung scans and allowing for intraoperative image registration, Dalca said. With the new algorithm, surgeons could potentially register scans in near real-time and, thus, have a much clearer picture of their progress during an operation.
"Today, they can't really overlap the images during surgery because it will take two hours and the surgery is ongoing," he said. "However, if it only takes a second, you can imagine that it could be feasible."