
Real-time intraoperative MRI (RT-IMRI) could be a valuable tool to guide and monitor the successful transplantation of stem cells used in therapy for Parkinson's disease, according to a study published online September 14 in Cell Transplantation.
Researchers from the University of Wisconsin-Madison are using RT-IMRI to transplant neurons derived from induced pluripotent stem cells (iPSCs) into the brains of nonhuman primates modeled with Parkinson's disease. So far, the imaging technique has provided enhanced visualization and monitoring of the procedure and helps cell survival.

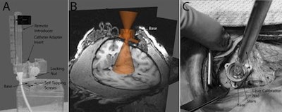
Lead author Dr. Marina Emborg, PhD, and colleagues developed an MRI-compatible trajectory guidance system that has been successful for intraoperative MRI. Most recently, they upgraded the system for real-time targeting and guidance, which allows for real-time pressure readings that can prevent clogging during cell delivery.
Upon postmortem brain analysis, the researchers found that transplanted cells grafted and survived well in the test animals after transplantation.