
Results from a new clinical study indicate that 3-tesla MRI is as effective as MR arthrography in detecting acetabular labral tears in the hip, saving patients an unnecessary procedure and potential complications from an arthrogram.
Previous research has found that an MR arthrogram is needed to diagnose an acetabular labral tear, said lead author Dr. Thomas Magee, managing partner in Neuroskeletal Imaging in Merritt Island, FL. "What was interesting to me was that there were so many times that I could call an acetabular labral tear without contrast in the joint" and using an MRI exam.
"The surgeon would have the patient come back for an arthrogram," Magee added. "The patient would ask, 'How how does this benefit me?' And I really didn't have a good answer."
MRI versus MR arthrography
The retrospective study reviewed 100 consecutive patients who had received both a conventional 3-tesla MRI scan and an MR arthrogram. Two musculoskeletal radiologists reviewed the MRI and MR arthrogram exams for acetabular labral tears in a randomized fashion at separate sittings to reduce potential bias.
The analysis showed that MR arthrography detected acetabular labral tears in 72 of the 100 patients, while MRI discovered acetabular labral tears in 71 patients.
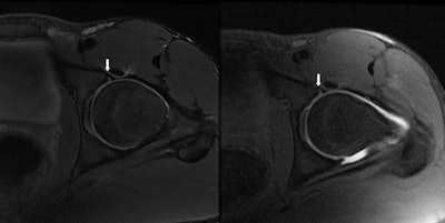
![]() |
| Image shows an acetabular labral tear (arrows) via an MR image (left) and MR arthrogram (right). No additional information was needed. All images courtesy of Dr. Thomas Magee. |
Thirty-eight of the 100 patients were sent for arthroscopy, where their labral tears were confirmed. Conventional 3-tesla MRI found 37 of the acetabular labral tears on those 38 patients, while all 38 MR arthrograms diagnosed the acetabular labral tears in the same patient group.
There was one false negative on 3-tesla MRI compared with arthroscopy. "Even in that case," Magee said, "when we looked back at the prearthrogram image, we could see the acetabular labral tear in retrospect."
![]() |
| Image shows a false negative in the case of an acetabular labral tear (arrows) as seen by 3-tesla MRI (left) and MR arthrogram (right). |
Based on the results, conventional MRI recorded sensitivity of 97% and specificity of 100% for acetabular labral tears compared to arthroscopy. For MR arthrography, both sensitivity and specificity were 100% compared to arthroscopy.
Even though the results are high, Magee expressed some caution about the sensitivity and specificity results for both modalities. "There were many true positives, meaning that virtually everybody who goes to surgery has a labral tear. So, one has to be cautious in that it is hard to find a large number of false negatives," he added. "If we did not call a labral tear on the MRI, none of the patients went to surgery. If we do not see a labral tear on the MRI or MR arthrogram, the surgeon is very hesitant to do surgery."
Patient benefit
The benefit of MRI is its ability to diagnose the acetabular labral tear without subjecting a patient to an unnecessary MR arthrogram. "The patient does not have to undergo an invasive procedure with some potential complications, which would include the potential of infection, bleeding, and discomfort from the procedure," Magee said.
Magee, who presented the study at the 2009 RSNA annual meeting, said that typically he first opts for an MRI exam unless a surgeon specifically requests an arthrogram.
"We will do an MRI and give the information needed for presurgical planning for the surgeon," he added. "The arthrograms can be uncomfortable for the patient; it is a bit of an invasive procedure, and, if you can get the same information without the arthrogram, why not?"
The bottom line, Magee said, is that 3-tesla MR of the hip without arthrography can be sufficient for preoperative planning for acetabular labral repair.
By Wayne Forrest
AuntMinnie.com staff writer
February 1, 2010
Related Reading
Study: Rotator cuff treatment provides tendonitis relief, June 30, 2009
Noncontrast MRI effective in adhesive capsulitis diagnosis, June 3, 2009
Isotropic 3T MRI aids in diagnosing labrum, rotator cuff tears, December 29, 2008
MR arthrography outdoes 3-tesla MR on tendon tears, December 12, 2008
Making the most of MRI to assess the rotator cuff pre- and postinjury, November 9, 2007
Copyright © 2010 AuntMinnie.com





















