Dear Molecular Imaging Insider,
Last week's ECR 2018 conference in Vienna provided a wealth of research on nuclear medicine and molecular imaging, with findings sure to be of interest on both sides of the Atlantic Ocean.
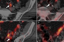
Take the combination of PET and MRI, for example, which has shown promise for detecting and characterizing various forms of cancer. The hybrid modality, however, did not match the accuracy of invasive sentinel lymph node biopsy in melanoma patients, according to one German study.
Lead author Dr. Benedikt Michael Schaarschmidt from the University of Düsseldorf called the results "quite sobering" in this Insider Exclusive.
In other news from Europe, Italian researchers recently reported progress with a novel PET imaging agent that targets copper accumulation in tumors. The agent -- copper-64 chloride -- is being evaluated for its ability to detect early prostate cancer relapse.
Elsewhere, researchers at Bristol-Myers Squibb have developed a same-day, noninvasive PET imaging approach to assess tumors that have the programmed death ligand 1 (PD-L1) protein. The technique could potentially help guide cancer treatment decisions and evaluate treatment response, according to the group.
Another new study offers intriguing findings on occupational radiation exposure for nuclear medicine technologists. While radiation exposure is generally low and within established guidelines, it has been rising in recent years as the field adopts more powerful imaging technologies.
In addition, recent PET research found that long-term depression alters the brain, suggesting that different stages of the illness may need different therapies. The investigators noted that greater inflammation in the brain is a common finding in degenerative brain disease -- including both Alzheimer's and Parkinson's disease.
Finally, there is good news on the molybdenum-99 front. The U.S. Food and Drug Administration recently approved NorthStar Medical Radioisotopes' RadioGenix isotope separation system, while the U.S. Nuclear Regulatory Commission will license the system's production of technetium-99m for medical use in the U.S.
Be sure to stay in touch with the Molecular Imaging Community on a daily basis to be informed on the latest news and research.




















