
Italian researchers are reporting progress with a novel PET imaging agent that targets copper accumulation in tumors to detect prostate cancer recurrence. Their results were published in the March issue of the Journal of Nuclear Medicine.
The new agent, copper-64 (Cu-64) chloride, was evaluated for its ability to detect early prostate cancer relapse, as indicated through increasing prostate-specific antigen (PSA) levels. The researchers are working from the knowledge that copper tends to accumulate in tumors, potentially making it a good imaging biomarker (JNM, March 1, 2018, Vol.59:3, pp. 444-451).
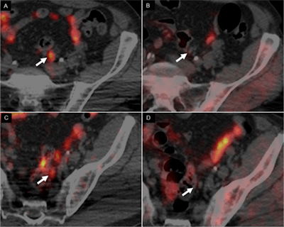
For the study, they acquired contrast-enhanced PET/CT scans on 50 patients to compare Cu-64 chloride with the use of F-18 choline. Multiparametric MRI was also performed, and the group calculated the detection rate of each imaging modality, biodistribution, kinetics of the lesions, and radiation dosimetry of Cu-64 chloride.
"This is the first time this novel agent has been compared with F-18 choline PET/CT in a considerable number of prostate cancer patients with biochemical relapse," said lead author Dr. Arnoldo Piccardo, from E.O. Ospedali Galliera in Genoa, in a statement. "Early detection of prostate cancer relapse may improve the clinical management of patients, for example implementing early salvage radiotherapy."

With a confirmed effective dose of 5.7 mSv for Cu-64 chloride -- similar to those of other established PET tracers -- and the fact that Cu-64 chloride does not collect in the urinary tract, the researchers said they were better able to assess the pelvis, increasing the chance of detecting small lesions close to the bladder.
Cu-64 chloride had a higher detection rate than F-18 choline PET/CT in patients with PSA levels less than 1 ng/mL, they found. In addition, none of the subjects experienced adverse reactions from the administration of Cu-64 chloride.
"This study determined that the biodistribution of Cu-64 chloride is more suitable than that of F-18 choline for exploring the pelvis and prostatic bed," Piccardo said. "Larger trials with this PET tracer are expected to further define its capabilities and role in the management of prostate cancer."