PET imaging can assess brain metabolism changes over time in individuals with prodromal dementia with Lewy bodies (DLB) and probable DLB, according to a study published January 13 in JAMA Neurology.
The finding is from a study that showed greater brain metabolic decline in patients with the disease than those without over 3.8 years, noted corresponding author Kejal Kantarci, MD, of the Mayo Clinic in Rochester, MN, and colleagues.
“These data may inform clinical practice and trials planning to use FDG-PET for biologic staging, monitoring disease progression, and potentially assessing treatment response,” the group wrote.
DLB is the second most common neurodegenerative dementia after Alzheimer’s disease. F-18 FDG-PET imaging of brain glucose metabolism is an established and widely used method for diagnosing DLB, yet a lack of evidence from longitudinal studies remains a barrier to its use in clinical trials, the authors explained. This is key, as recent breakthroughs in understanding the early stages of the disease have intensified interest in trials, they noted.
To bridge the knowledge gap, the researchers studied data on 35 patients with probable DLB, 37 patients with mild cognitive impairment with Lewy bodies (MCI-LB), and 100 individuals without cognitive impairment who had undergone imaging over a 3.8-year period. At follow-up, 18 participants (49%) with MCI-LB had progressed to probable DLB.
The group analyzed rates of change in brain metabolism among the groups based on standardized uptake value (SUV) ratios of F-18 FDG radiotracer. In addition, they tracked clinical progression of disease based on Clinical Dementia Rating Sum of Boxes (CDR-SB) scores, a measure of dementia severity based on cognitive impairment.
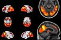
According to the findings, patients with MCI-LB had a faster decline in F-18 FDG SUV ratios compared with participants without cognitive impairment, specifically in the posterior cingulate, occipital, parietal, temporal, and lateral frontal cortices. The same regions showed greater metabolic decline in patients with DLB than in participants without cognitive impairment.
In addition, the rates of metabolic changes in F-18 FDG-PET in these brain regions correlated with the clinical measurements of disease progression, the authors explained.
“This study found that brain hypometabolism begins to evolve during the prodromal stages of DLB with changes paralleling symptomatic progression,” they wrote.
The researchers noted limitations of the study, namely that the cohort was primarily a midwestern cohort from the U.S. with limited racial and ethnic diversity, and therefore generalizability may be limited. Nonetheless, the study presents the first dataset with longitudinal FDG-PET data in patients with MCI-LB and DLB, the group wrote.
“To date, there are no disease-modifying treatments for DLB, although advances in understanding of disease pathophysiology have opened new opportunities for clinical trials,” the authors wrote.
The full study is available here.




















