
A new PET radiotracer for tau pathologies is showing promise for helping diagnose and differentiate Alzheimer's disease (AD) from a wide range of other dementia disorders. Researchers detailed their early experiences in animal and patient studies in Neuron online October 29.
The PET radiopharmaceutical -- F-18 PM-PBB3 -- was developed in Japan at the National Institute of Radiological Sciences, National Institutes for Quantum and Radiological Science and Technology. It is being tested in clinical trials under the name of APN-1607 through a tie-up with Taiwan start-up Aprinoia Therapeutics.
In the Neuron report, a team led by Dr. Makoto Higuchi, PhD, of the National Institutes for Quantum and Radiological Science and Technology explained how the radiotracer works, outlined its advantages over other PET tracers for tau pathologies, and described experience in 39 patients with Alzheimer's disease, as well as a range of frontal-temporal lobar degeneration (FTLD) conditions, notably the following:
- Pick's disease
- Progressive supranuclear palsy
- Corticobasal degeneration
Experience to date indicates F-18 PM-PBB3 "can cover the diagnosis and differentiation of a wide range of neurodegenerative dementias and is applicable to clinical workup in hospitals equipped with PET scanners," researchers said in a statement about the data.
Tau pathology occurs in diverse illnesses and is mechanistically linked to the neurodegenerative processes of these disorders, the authors noted in Neuron. The manner in which abnormal tau proteins build up typically differs for Alzheimer's disease and Alzheimer's type primary age-related tauopathy compared with FTLD disorders.
"Meanwhile, substantial overlaps have been noted among symptomatic phenotypes derived from these pathologies, impeding the differentiation of clinical syndromes by estimation of underlying pathological alterations," the authors wrote.
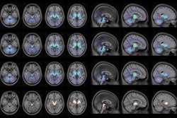
The study shows how the location of abnormal tau protein aggregates in parts of the brain signaled which particular condition patients had, results that were confirmed on biopsies and autopsies.
The imaging probe C-11 PBB3 has been positioned for use for imaging tau pathologies, but a major limitation of this tracer is that it rapidly converts to a metabolite, resulting in low entry of the unmetabolized compound into the brain, "hampering a sensitive recognition of fibrillary aggregates in FTLD tauopathies that are less abundant than AD tau deposits" the authors wrote.
"To overcome this technical issue, in the current work, we modified the chemical structure of PBB3 to generate a chemical with a relatively high metabolic stability, aiming at unambiguous investigations of tau fibril density and extent in each of the individuals with AD and FTLD," the authors explained.
The new compound was fluorinated because an F-18 labeled probe has broader availability and higher PET scan throughput compared with C-11 radiochemicals, the authors noted.
Uptake in the brain with F-18 PM-PBB3 was shown to be approximately twice as high as for C-11 PBC, according to the study. The authors also reported that PET images show the stability of the new probe in patients with dementia in contrast with low retention in healthy controls.
"The clearance of [F-18 PM-PBB3] was profoundly slowed in tau-burdened areas of the AD and [progressive supranuclear palsy] brains, conceivably reflecting the specific radioligand binding to tau aggregates," Higuchi et al wrote.
Based on PM-PBB3-positive tau deposits, it's possible to make clear separations between disorders, which has not been possible with other tau PET probes and other imaging modalities, such as volumetric MRI, the authors wrote. This "paves the way for the construction of a biomonitoring system for the selection of an adequate disease-modifying therapeutic," according to Higuchi et al.
Research also suggests that F-18 PM-PBB3 is useful for detecting disease at preclinical stages based on tau pathology, which could pave the way for development of a noninvasive blood test for screening asymptomatic people, a holy grail of research in Alzheimer's disease and other neurological disorders.
A new PET radiotracer for tau pathologies is showing promise for helping diagnose and differentiate Alzheimer's disease (AD) from a wide range of other dementia disorders.However, while the preliminary findings are encouraging, additional extensive research for F-18 PM-PBB3 in a diverse range of dementias and with post-mortem data are still needed, the authors acknowledged.
Aprinoia, which is based in Taipei City, announced on October 28 that the China National Medical Products Administration approved plans to start a phase III study of the probe in mild cognitive impairment and Alzheimer's disease. In the U.S. a multicenter phase II study of the candidate in Alzheimer's disease started last year and is still recruiting.
Also last year, Aprinoia licensed the probe to Celgene for use in selecting patients for clinical trials and assessing efficacy.




















