
SAN FRANCISCO - Imaging and genetic profiling can work hand in hand to assess tumor aggression in cervical cancer, according to a presentation last week at the Translation Research in Radiation Oncology and Radiology meeting, sponsored by the American Society for Therapeutic Radiology and Oncology (ASTRO).
Dr. Julie Schwarz, Ph.D., and colleagues from several departments at the Washington University School of Medicine in St. Louis pointed out that pretreatment lymph node status can be determined by FDG-PET. Lymph node status serves as a predictor of clinical outcome in cervical cancer, they wrote in their poster.
"The purpose of this prospective study was to compare gene expression profiles of pretreatment tumor biopsies from patients with FDG-PET-positive lymph nodes at the time of diagnosis to those obtained from patients with negative lymph nodes on the pretreatment FDG-PET," they explained.
Twenty-five patients with advanced-stage cervical cancer were included, all of whom were treated with chemoradiation. Whole-body FDG-PET scans were done and co-registered with CT scans. Twenty-eight pretreatment tumor biopsies were done, and pathologic review confirmed the presence of invasive cancer in 26 of 28 cases.
From these biopsy samples, total messenger RNA (mRNA) was harvested, converted into complementary DNA (cDNA) and then into biotinylated complementary RNA (cRNA). This process creates gene probes from which the presence of nucleotide sequences can be determined. The labeled cRNA target was quantified, fragmented, and hybridized to GeneChips (U133Plus2, Affymetrix, Santa Clara, CA).
According to the results, there were 14 cases with positive lymph nodes and 14 with negative lymph nodes. The three-year cause-specific survival rate was 52% for those with positive lymph nodes and 100% for those with negative nodes. The three-year progression-free survival rate was 34% for those with positive nodes and 82% in node-negative cases.
![]() |
![]() |
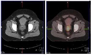
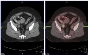
| Above and below, representative images of a 39-year-old patient, currently undergoing treatment, with FIGO stage IB2 squamous cell carcinoma of the cervix. Pretreatment FDG-PET/CT identified an FDG-avid cervical tumor mass plus bilateral iliac and right common iliac metastatic lymphadenopathy. Images courtesy of Dr. Julie Schwarz, Ph.D. |
![]() |
![]() |
"Comparison of gene expression profiles from lymph node-positive and negative tumors identified 44 probe sets that were differently expressed between the two groups," the authors stated. "These genes include transcriptional activators and repressor, cell cycle regulators, cell signaling proteins, apoptotic regulators, and cytoskeletal proteins."
Previous research on cell cycle genes in ovarian cancer has shown that they act as prognostic indicators (Clinical Cancer Research, December 15, 2004, Vol. 10:24, pp. 8132-8141).
In an interview with Auntminnie.com, Schwarz stressed that the imaging exam was an integral part of the overall diagnostic and treatment process. "We're not necessarily looking to obviate the PET scan (with genetic profiling), but to enhance it," she said. "The FDG-PET results are absolutely integral to our gene chip study, as we search for biological information that correlates (and may potentially explain) what we see on imaging," she added in an e-mail.
In terms of the clinical applications of the research, Schwarz said genetic information could help guide therapeutic planning. "We do hope that the results our study may be used in the future to select patients for alternate or more aggressive therapies. In addition, we hypothesize that biologic pathways identified in this study may be used to select as yet unexplored molecular targeted therapies in the treatment of cervical cancer," she explained.
Dr. Theodore Lawrence, Ph.D., from the meeting's program committee, asked Schwarz why her group chose to use lymph node status in this study versus locoregional recurrence or overall survival. Schwarz said that the disease spread in the lymph nodes followed a predictable pattern before growing into distant metastatic disease. Patients with lymph node spread are in a kind of "purgatory," she explained. Knowing more about the biology of disease spread in the lymph nodes could be useful for treatment decision-making and choosing targeted therapeutic agents.
Schwarz noted that this pilot study was done to develop a test set for gene expression profiling. Their next step will be a validation study with a larger (45) patient population. They also hope to whittle down the 44 probe sets to eight to 10 probe sets that could be used as quick and inexpensive disease progression predictors. At the moment, one GeneChip costs about $500, she said.
She added that her group would also like to see if these results will bear out in studies done outside the St. Louis patient population, on a national and international level. In the meantime, the group will present additional data from their ongoing research at the 2007 ASTRO meeting in Los Angeles in October.
By Shalmali Pal
AuntMinnie.com staff writer
September 11, 2007
Related Reading
PET/CT moves closer to diagnostic standard of care, March 1, 2007
Easier cisplatin regimen for advanced cervical cancer appears less effective, February 23, 2007
PET/CT shows strength for staging cervical cancer, May 31, 2006
Copyright © 2007 AuntMinnie.com
























