
Whole-heart 1.5-tesla coronary MR angiography (MRA) with 32-channel coils can noninvasively detect coronary artery disease (CAD) in substantially less imaging time compared to MDCT, according to a study in the May issue of Radiology.
As a result, the technique can be used instead of MDCT coronary angiography to rule out obstructive CAD in patients with a contraindication to contrast material, and it can also be used in young patients who are at higher risk from ionizing radiation, the researchers concluded.
The lead author of the study is Dr. Motonori Nagata, from the department of radiology at Mie University Hospital in Japan (Radiology, May 2011, Vol. 259:2, pp. 384-392).
The study consisted of two parts: In the first half, the researchers acquired whole-heart coronary MR angiograms with a 1.5-tesla scanner (Achieva, Philips Healthcare) in 10 healthy subjects (nine men and one woman; mean age, 29 years), aided by 32- and five-channel cardiac coils.
In the second part of the study, the team prospectively screened 87 consecutive patients suspected of having CAD who presented with chest pain suggestive of newly developed or recurrent coronary artery stenosis. Both cohorts were scanned with a sensitivity encoding (SENSE) protocol, a proprietary technique developed by Philips that's based on the use of multiple radiofrequency (RF) coils and receivers. The coil elements are used to measure the anatomical region of interest simultaneously to reduce total scan time by a factor up to the number of coil elements.
The researchers excluded 20 patients due to implantable cardiac devices, claustrophobia, acute coronary syndrome, atrial fibrillation, and previous coronary bypass graft surgery. This left a final group comprised of 67 patients (49 men and 18 women), with a mean age of 69 years. MR angiograms for the 67 patients suspected of having CAD were performed with 32-channel cardiac coils.
Coronary MR angiography was performed within four weeks before or after conventional coronary angiography. CAD was detected in 39 (58%) of the 67 patients.
Two readers evaluated the whole-heart coronary MR angiograms and were blinded to clinical history and the presence of left ventricular wall motion on transverse cine MR images. Image quality was evaluated separately on a five-point scale, with 1 being "not visible" and 5 representing "excellent."
The two readers also visually evaluated clinically significant narrowing of the coronary arteries (50% or greater reduction in diameter). The study included all coronary arteries for evaluation, regardless of image quality, to avoid overestimation of the diagnostic accuracy.
Results
Whole-heart coronary MR angiograms were completed successfully in all 10 healthy subjects using three acquisition protocols.
The mean acquisition time of MR angiography was 12.3 minutes (range, 7.3-20.7 minutes) with five-channel coils and a SENSE (sensitivity encoding) factor of 2; 11.8 minutes (range, 5.8-21.5 minutes) with 32-channel coils and a SENSE factor of 2; and 6.3 minutes (range, 3.3-10.5 minutes) with 32-channel coils and a SENSE factor of 4.
"The image acquisition time with 32-channel coils and the SENSE factor of 4 was significantly shorter than with five-channel coils and a SENSE factor of 2 and 32-channel coils and a SENSE factor of 2," Nagata and colleagues concluded.
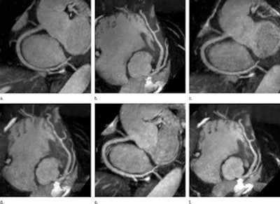
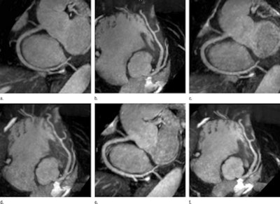
|  | 
| Unenhanced 1.5-tesla whole-heart coronary MR angiography in a healthy subject shows results with a five-channel cardiac coil and a SENSE factor of 2 (a, b), a 32-channel coil and a SENSE factor of 2 (c, d), and a 32-channel coil and a SENSE factor of 4 (e, f). Images courtesy of Radiology. | 
The two readers found no significant differences in image quality among the three protocols.
For the 67 patients in the second group, image acquisition was completed with a mean imaging time of 6.2 minutes (range, 1.2-16.2 minutes).
A total of 791 segments were evaluated after exclusion of three segments with stents and 10 segments with a reference diameter of less than 2 mm at conventional coronary angiography. With conventional coronary angiography, significant stenoses were revealed in 70 (9%) of the 791 segments in 63 (31%) of 201 vessels. Sensitivity was 87%, specificity was 86%, positive predictive value was 89%, negative predictive value was 83%, and accuracy was 87% for detecting patients with significant CAD.
By comparison, whole-heart coronary MR angiography achieved sensitivity of 86%, specificity of 93%, positive predictive value of 86%, negative predictive value of 93%, and accuracy of 91% in detecting significant coronary artery stenosis.
In the detection of left main coronary artery or three-vessel disease, whole-heart coronary MR angiography achieved sensitivity of 86%, specificity of 100%, positive predictive value of 100%, negative predictive value of 98%, and accuracy of 99%.
Study limitations
Nagata and colleagues cited several limitations of the study, such as the relatively small number of healthy subjects and patients and the age difference between the two groups.
The accuracy of 1.5-tesla coronary MR angiography with 32-channel coils also should be investigated in a multicenter study, given that this research did not directly compare the performance of 32-channel coils to that of five-channel coils.
In addition, the patient group had a high prevalence of CAD because patients scheduled for elective conventional coronary angiography were recruited, according to the authors.
"The findings in this study may not be extrapolated to the population with a lower prevalence of CAD and do not indicate the value of whole-heart coronary MR angiography in the detection of CAD in subjects with low pretest probability," they wrote.



















