An AI algorithm that identifies osteoporosis on chest x-rays can help screen for patients at high risk for the disease, according to a study published June 25 in Radiology.
In a clinical trial, researchers at the National Defense Medical Center in Taipei, Taiwan, used the chest x-ray algorithm to identify patients for additional assessments using dual-energy x-ray absorptiometry (DEXA), the gold standard test.
“Providing DEXA screening to a high-risk group identified with AI-enabled chest radiographs can effectively diagnose more patients with osteoporosis,” noted lead author Chin Lin, PhD, and colleagues.
Osteoporosis affects around 200 million women globally and is widely underdiagnosed and undertreated in part because DEXA screening is underused, the authors wrote. About only 30% of women and 4% of men aged 65 and older undergo DEXA scans to detect the disease, they noted.
Thus, in this study, the group tested whether an AI algorithm they previously developed (OPSCAN) for detecting osteoporosis on chest x-rays could serve as a risk-stratification tool to encourage DEXA screening among high-risk populations.
Out of 40,658 participants included in the trial, 4,912 (12.1%) were identified as high risk using the AI algorithm and were randomized into two groups: a screening group (n = 2,456) who were offered fully reimbursed DEXA exams and a control group (n = 2,456) who underwent standard care, which was defined as a DEXA exam by a physician or patient on their own initiative without AI intervention.
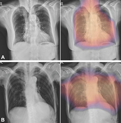
(A, B) Images with true-positive findings. Digital radiographs in (A) a 79-year-old woman with dementia and hypertension and a T-score of −3.4 and (B) an 87-year-old woman with osteoarthritis of the knee and a T-score of −2.7. The AI-enabled chest radiography mainly focused on the vertebrae and ribs around patient’s heart and lung field.Images and caption courtesy of the RSNA.
According to the results, a total of 315 (12.8%) participants in the screening group underwent fully reimbursed DEXA scans, with 272 (11%) being newly diagnosed with osteoporosis. This was compared with 27 (1.1%) in the control group. Ultimately, the odds of detecting osteoporosis were 11.2 times higher in the screening group compared with the control group, the researchers noted.
Moreover, a greater proportion of individuals in the screening group initiated antiosteoporotic treatment (odds ratio, 5.3; p < 0.001), the researchers added.
“This randomized controlled trial highlights the potential of dual-energy x-ray absorptiometry screening for patients with incidental osteoporosis identified by an opportunistic AI-enabled chest radiography analysis, which facilitates appropriate diagnostic and treatment interventions,” the group wrote.
In an accompanying editorial, radiologists Andrew Smith, MD, of St. Jude Children’s Research Hospital in Memphis, TN, and Steven Rothenberg, MD, of the University of Alabama at Birmingham, wrote that the “innovative approach” used in the study has potential.
Yet they noted that despite being informed about their high risk for osteoporosis, only 12.8% of the screening group opted to undergo the reimbursed DEXA scans.
“This suggests that cost is not the main barrier to confirmatory DEXA and that there is a need for enhanced patient education and other efforts to encourage DEXA screening in patients at high risk for osteoporosis,” they wrote.
Future research should include diverse populations, long-term follow-up to evaluate outcomes, assessment of future fracture incidence within unscreened groups at high risk for osteoporosis, and methods to improve patient understanding of the AI results, Smith and Rothenberg concluded.
The full study is available here.



















