A team at Michigan State University has developed an AI model designed to detect rib fractures in children under three years old, with the ribcage being the most common fracture site in abused children.
The model approached the capabilities of expert human readers on a set of 1,109 pediatric chest x-rays and could serve as a tool to help detect injuries due to physical abuse, noted lead author Jonathan Burkow, a doctoral student, and colleagues.
“Rib fractures are extremely important to detect as they are a sentinel injury for physical abuse in young children that portend poor outcomes; a single rib fracture in children is associated with a 2.5 times increase in mortality rate,” the group wrote. The study was published April 10 in Scientific Reports.
Detecting rib fractures in pediatric x-rays is challenging, as they can be obliquely oriented to the imaging detector or obscured by other structures, the authors explained. Even expert, specialized radiologists performing their first reads on x-rays can miss up to two-thirds of all rib fractures, they added.
An AI model that acts as a first-read “augmentation technique” could improve both detection of rib fractures and the speed of image interpretation, especially for non-expert readers, the authors suggested.
To that end, the group adapted two convolutional neural network (CNN) architectures, RetinaNet and YOLOv5, and a new decision scheme they called “avalanche decision.” This scheme dynamically reduces the AI’s acceptance threshold, which means that its decisions are not based on fixed areas in the x-ray images, but rather on changes it detects in a number of high-probability regions.
“This approach is motivated by the reality that if a subject has one fracture they are very likely to have more than one fracture, and a subject with two fractures is very likely to have three, and so on,” the group wrote.
The researchers used a custom dataset of 1,109 pediatric chest x-rays (624 with fractures present and 485 with fractures absent) manually labeled by seven pediatric radiologists. The average age of the patients was 282 days +/- 769 days.
To test the model, the group performed a 10-fold cross-validation and reported performance using several metrics, including F2 score, which summarizes precision and recall for high-sensitivity tasks based on a 0 to 1 range.
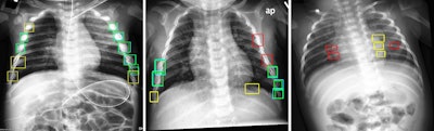
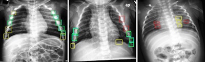
Test set images with ground truth (teal, red) and model predictions (green, yellow), with true positives (green), false positives (yellow), and false negatives (red). Predictions from the 6x-YOLOv5 ensemble trained on histogram equalized input images with a y = 0.2 avalanche scheme, achieving 0.536 precision, 0.795 recall, and 0.723 F2 score. Image and caption courtesy of Scientific Reports.
The model achieved an F2 score of 0.725, while expert interreader performance among seven board-certified pediatric radiologists with five to 20 years of experience yielded an F2 score of 0.732, according to the findings.
“Results demonstrate that our combination of sensitivity-driving methods provides object detector performance approaching the capabilities of expert human readers,” the group wrote.
Ultimately, studies have shown rib fracture is a result of child abuse 80% of the time and is 23.7 times more likely from abuse than from an accident, the researchers noted. They added that the motivation for their work is to improve the sensitivity of fracture detection to ensure that few to no fractures are missed during x-ray interpretations.
“Future work is needed to determine performance in realistic clinical settings with more thorough comparisons to expert human performance,” the group concluded.
The full article is available here.


















