
The SARS-CoV-2 virus has a particular appearance on chest x-ray that carries a high specificity and positive predictive value for COVID-19 infection -- a finding that could help clinicians more quickly diagnose the illness, according to a study published September 3 in Radiology: Cardiothoracic Imaging.
The study findings add fuel to the debate about which imaging modality is best for identifying COVID-19, a team led by Dr. David Smith of Louisiana State University Health Sciences Center in New Orleans noted.
"While not a substitute for RT-PCR [reverse transcription polymerase chain reaction testing] or chest CT, chest x-ray could provide rapid, cost-effective diagnosis of COVID-19 in a subset of infected patients ... during the COVID-19 pandemic," the group wrote. "The utility of this technique is described in the context of known disadvantages of RT-PCR, considered the gold standard in COVID-19 diagnosis, and chest CT, which is currently not recommended for COVID-19 diagnosis."
Which imaging modality is best for diagnosing COVID-19 remains unclear, with some advocating for chest CT in conjunction with RT-PCR testing and others warning against this approach. In March, the American College of Radiology discouraged the routine use of chest CT for COVID-19, while in April the Fleischner Society suggested that it be used only in patients with severe symptoms. But on September 1, French researchers argued that chest CT is an effective tool for diagnosing the disease.
Smith's team sought to investigate chest x-ray's role in COVID-19 diagnosis via a study that included 366 patients in New Orleans with suspected COVID-19 between March 13 and 25. These patients underwent 376 chest x-rays on admission to the hospital as well as RT-PCR testing. Two radiologists categorized these exams for COVID-19 in the following manner:
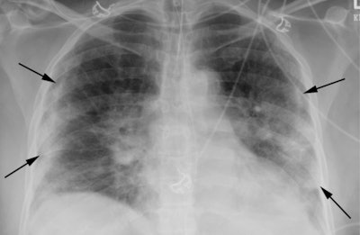
- Characteristic: "presence of bilateral 'patchy' or 'confluent, bandlike' ground-glass opacity or consolidation in a peripheral and mid-to-lower lung zone distribution."
- Nonspecific: Any abnormality other than "characteristic."
- Negative: No abnormality.
Smith's group found that 10% of chest x-rays showed characteristic COVID-19 appearance, while 57% showed nonspecific appearance and 33% were negative. The two readers had a 92% agreement rate for evaluating the chest x-rays for COVID-19.
Chest x-ray performance for diagnosing COVID-19 disease | |
Measure | Performance |
Sensitivity | 15.5% |
Specificity | 96.6% |
Positive predictive value | 83.8% |
Negative predictive value | 50.1% |

The researchers acknowledged that chest x-ray has low sensitivity for diagnosing COVID-19 disease, but they emphasized that it's highly predictive of the illness in patients who have findings that are also characteristic on chest CT.
"We ... observed a chest x-ray pattern in patients during the exponential growth phase of the COVID-19 outbreak in New Orleans ... which is in accordance with the most commonly recognized CT features of COVID-19 in recent literature," the authors concluded. "These observations may be useful for patient triage or may assist in discharge and quarantine planning where rapid and highly sensitive and specific testing is lacking."