CT imaging shows that severe acute respiratory disease events can be caused by quantitative interstitial abnormalities (QIA) -- that is, small irregularities that don't necessarily meet diagnostic criteria for advanced pulmonary diseases but show up on CT exams over time, a study published April 30 in Radiology has reported.
A team led by Bina Choi, MD, of Brigham and Women’s Hospital in Boston found that, although acute respiratory disease events have tended to be associated with airway disease, "progression in QIA is independently associated with these acute respiratory disease events both intercurrent and subsequent to progression" -- especially in individuals with a smoking history.
"QIA [include] features like reticulation and ground-glass opacities as well as subtle density changes with important clinical implications," Choi said in a statement released by the RSNA. "In some patients, [they] may be a precursor to advanced diseases such as pulmonary fibrosis or emphysema."
Choi and colleagues sought to investigate whether the progression of QIA on CT imaging was associated with acute respiratory disease and severe acute respiratory disease events in patients with a history of smoking. To this end, they conducted a study that included 3,972 participants with a 10-pack-year or greater smoking history who underwent a baseline chest CT exam and a follow-up exam five years later between November 2007 and July 2017 (patient data was part of the COPDGene study). The investigators tracked episodes of acute respiratory disease (increased cough or dyspnea lasting 48 hours and requiring antibiotics or corticosteroids) and severe acute respiratory disease episodes (those requiring an emergency room visit or hospitalization) via questionnaires patients completed every three to six months.
Overall, the researchers found that the annual percentage QIA progression was associated with increased odds of one or more intercurrent and subsequent severe acute respiratory disease events (odds ratio, 1.29 and 1.26, respectively, with 1 as reference). They also found that patients in the highest quartile of quantitative interstitial abnormalities progression had more frequent intercurrent acute respiratory disease events (incidence rate ratio, 1.46, with 1 as reference) and severe acute respiratory disease events (incidence rate ratio, 1.79) events than those in the lowest quartile.
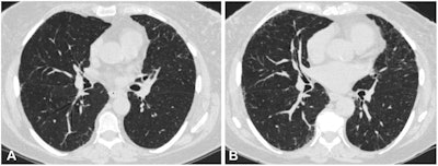
Axial chest CT scans (0.75-mm section thickness, reconstructed with b31f kernel) at (A) visit 1 and (B) visit 2 at the level of the takeoff of the right middle bronchus of a participant with 1.2 annual percentage quantitative interstitial abnormality progression. The female participant was 62 years old at [baseline] visit 1 and 67 years old at [follow-up] and a current smoker at both visits, with a 47.5 pack-year history at [follow-up]. This participant had four subsequent acute respiratory disease (ARD) events and three subsequent severe ARD events. Images and caption courtesy of the RSNA.
The results suggest that "QIA progression may indicate changes in lung tissue processes that have both short- and long-term impacts on patient symptoms and the worsening of those symptoms," according to Choi.
"Severe acute respiratory disease events may be a sign of disease activity and a source of morbidity at the earliest stages of lung tissue injury," she said. "Some people with QIA progression may merit more aggressive monitoring and earlier intervention."
The study underscores the need for further research, wrote Brent Little, MD, of the Mayo Clinic in Jacksonville, FL, in an accompanying commentary.
"Other clinical questions also await further study," he suggested. "What is the real threshold for clinically relevant QIA? What rate of progression is associated with clinically relevant outcomes? How should detection of QIA inform diagnosis and treatment? The work by Choi et al provides an exciting preview of the rapidly materializing future of quantitative interstitial lung abnormalities and intersitial lung disease analysis."
The complete study can be found here.




















