
More than half of people who contract COVID-19 pneumonia show evidence on chest CT of damage to their lungs even a year after symptom onset, according to a study published March 29 in Radiology.
The findings underscore the importance of imaging follow-up in people who have apparently recovered from COVID-19, said study senior author Dr. Gerlig Widmann of Innsbruck Medical University in Austria in a statement released by the RSNA.
"Long-term follow-up, both clinical and radiological, is necessary to gather more information about the course and clinical role of persisting SARS-CoV-2 related chest CT abnormalities," he said.
The fact that pneumonia can damage the lungs is well known, but what is less understood is how COVID-19 pneumonia in particular affects the lungs long-term, said study co-author Dr. Anna Luger of the Medical University of Innsbruck in Austria in the statement.
"The observed chest CT abnormalities from our study are indicative of damaged lung tissue," she said. "However, it is currently unclear if they represent persistent scarring, and whether they regress over time or lead to pulmonary fibrosis.

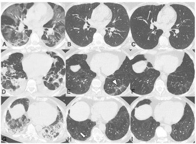
Luger's group conducted a study that included 91 patients evaluated with chest CT after contracting COVID-19 pneumonia at two, three, six, and 12 months after symptom onset. Of these, 49 (54%) showed abnormalities on chest CT at the one-year mark. CT exam findings were graded by lung lobe using a severity score that ranged from 0 (normal) to 25 (all lobes involved).
The group found the following:
- 54% of patients who contracted COVID-19 pneumonia had abnormalities on chest CT at one year post symptom onset.
- 51% of these patients with long-term COVID-19-related chest CT abnormalities were treated for the illness in a general hospital ward, while 45% were treated in the intensive care unit and 4% were treated on an outpatient basis only.
- 63% of patients with COVID-19 related abnormalities did not show further improvements after six months.
- Common abnormal findings were subtle subpleural reticulation, ground-glass opacities, or both (34%); 20% of the abnormal CT exams showed extensive ground-glass opacities, reticulations, bronchial dilation, or microcystic changes.
- Men older than 60 were particularly vulnerable to showing persistent lung abnormalities on CT at one year after symptom onset.
The study highlights the need to track individuals who have contracted COVID-19 pneumonia over time, according to the authors.
"Our results emphasize early and longitudinal monitoring of COVID-19 [patients]," they wrote. "[There] is still an urgent need for further studies focusing on histological and clinical correlations within the first three months after COVID-19 to identify [those] at risk for developing CT abnormalities and who would benefit from early tailored therapeutic concepts."