
More than a dozen case reports and studies from around the world showed consistent lung ultrasound scan findings in patients with COVID-19, according to a review published on May 25 in Ultrasound in Medicine and Biology.
The review, conducted by two radiologists from the ultrasound research lab at the University of Pennsylvania, demonstrated the feasibility of lung ultrasound as a first-line resource for patients with the novel coronavirus. The research is part of the lab's ongoing effort to standardize ultrasound features and quantify and automate ultrasound findings.
"Lung ultrasound has emerged as a strong first-line imaging modality in emergency settings for diagnosing COVID-19 as well as tracking disease progression," study co-author Dr. Laith Sultan told AuntMinnie.com. "The findings from all the studies we reviewed from around the globe showed high sensitivity comparable to CT-scan."
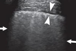
Sultan and colleague Chandra Sehgal, PhD, reviewed lung ultrasound findings of adult and pediatric patients with COVID-19 from 14 sources, including case reports and prior studies. They found common features of COVID-19 on ultrasound scans, which included multiple B-line patterns with spared areas and thickened, irregular pleural lines.
Many of the ultrasound findings were bilateral and posterobasal predominant, they noted. Scans also revealed subpleural consolidations, which can be associated with discrete, localized pleural effusion.
The hallmark signs of COVID-19 were consistent in Europe and Asia, as well as present in emerging research from Canada and Turkey. The findings also appeared in children and pregnant patients.
"One of the things that really impressed me is how characteristic patterns of lung ultrasound findings for COVID-19 patients surfaced from around the globe in such a short duration," Sultan said. "Particularly, I was impressed with the Italian experience and how organized and proactive were the medical teams over there."
More specific findings related to COVID-19 included that patients with severe, progressive disease often had the presence of alveolar consolidation with a tissue-like appearance, as well as dynamic and static air bronchograms on ultrasound scans.
In addition, a research team from China used color Doppler flow imaging ultrasound scans to look at blood flow in the lungs of patients. The team found signs of lack of blood flow signals in subpleural consolidations, which could have resulted from larger, systemic COVID-19 effects.
"Looking at the findings, some features really surprised me," Sultan said. "The absence of Doppler signal, which is opposite to what one can expect in inflammatory lung changes, is really a unique finding for COVID-19."
While the results are promising, the researchers emphasized the need for a standardized lexicon for ultrasound features related to COVID-19, similar to the language used for sonography for breast, liver, and thyroid cancers. They're also working with teams in Italy and Spain on machine learning that may one day be able to help physicians diagnose COVID-19.
"Penn's Ultrasound research lab started working on multiple projects that focus on the automation of sonographic findings to reduce user training and user variability," Sultan said. "These projects involve the use of computer image analysis and machine learning methods."


















