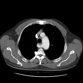
Aberrant right subclavian artery with a left aortic arch
The CT image below demonstrates an aberrant right subclavian artery arising as the last branch from the aortic arch. In this case the vessel is not arising from a diverticulum. The vessel travels to the right posterior to the esophagus.







