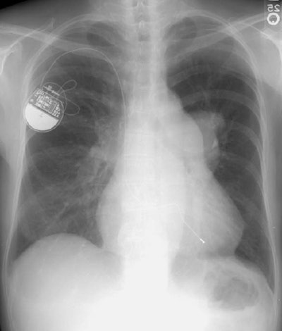
Long-standing Pulmonic Stenosis
The elderly female in the image below had a long-standing history of pulmonic stenosis. There is very prominent enlargement of the pulmonary outflow tract, as well as asymmetric enlargement of the left main pulmonary artery.
(Click here to view lateral exam)







