Europe
Clinical News
Informatics
Industry News
Practice Management
Education
Subspecialties
More
Sign In
Breast Imaging
CV
Chest
Emergency
GI
GU
Head & Neck
Interventional
Physics
MSK
Neuro
Nuclear
Pediatric
Radiation Oncology
Cardiac Imaging: Page 307
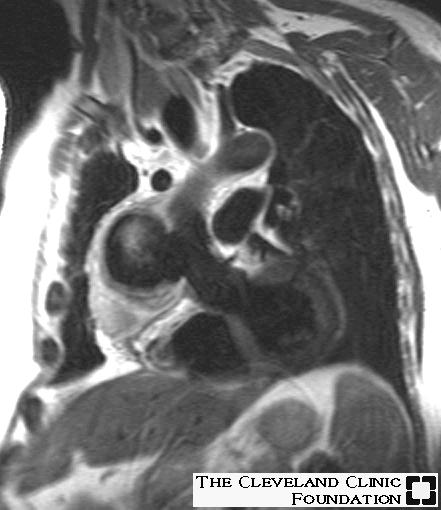
Vascular > Dissection > Images > TypeA > Case2
By
Scott Williams
April 2, 2002
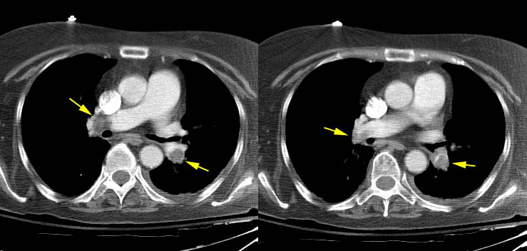
Vascular > PE > Images > Case1
By
Scott Williams
April 2, 2002
Vascular > Aorticaneurysm > Images > Infection > Case1
By
Scott Williams
April 2, 2002
Bone Imaging of Vascular Disorders
By
Scott Williams
April 2, 2002
CNS > Vascular imaging
By
Scott Williams
April 2, 2002
Monitoring cardiac sarcoidosis with MRI could save lives
By
Eric Barnes
At the 2002 European Congress of Radiology in Vienna, Dr. Olivier Vignaux from Hôpital Cochin and the University of Paris in France discussed his group's study of cardiac sarcoidosis. The group concluded that more frequent monitoring with MRI could save lives.
March 31, 2002
Acuson reaches Cypress milestone
By
AuntMinnie.com staff writers
Ultrasound vendor Acuson has installed its 1,000th Cypress echocardiography system.
March 24, 2002
Photogen reports success with CT plaque imaging
By
AuntMinnie.com staff writers
Biotechnology firm Photogen Technologies has reported a successful animal study of its PH-50 contrast agent technology, which may enable the visualization of soft plaque using CT.
March 18, 2002
In-stent restenosis brachytherapy benefits from longer radiation sources
By
Edward Susman
ATLANTA - Using radiation source trains that are roughly double the size of the target lesions, brachytherapy can prevent stenosis following treatment for in-stent restenosis even in lesions that are as long as 30 mm, according to a report at the 2002 American College of Cardiology meeting.
March 17, 2002
FDA clears Philips flat-panel Allura cardiac cath unit
By
AuntMinnie.com staff writers
Philips Medical Systems has received FDA clearance for a flat-panel version of Integris Allura.
March 14, 2002
ScImage launches VascularView software at ACC
By
AuntMinnie.com staff writers
ScImage is launching a new coronary analysis software package at the ACC meeting in Atlanta.
March 14, 2002
Voxar debuts heart-screening software
By
AuntMinnie.com staff writers
VIENNA - Voxar highlighted a new calcium-scoring product at the 2002 ECR.
March 4, 2002
Previous Page
Page 307 of 325
Next Page