Radiology 2000 Nov;217(2):544-50
Treatment of Stanford type B aortic dissection with stent-grafts: preliminary
results.
Czermak BV, Waldenberger P, Fraedrich G, Dessl AH, Roberts KE, Bale RJ, Perkmann
R, Jaschke WR.
PURPOSE: To evaluate the feasibility and safety of endovascular stent-graft
placement in treating Stanford type B aortic dissection. MATERIALS AND METHODS:
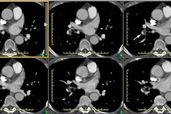
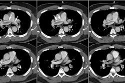
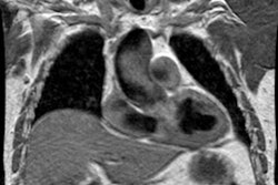
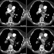
Seven patients underwent endovascular stent-graft placement for type B aortic
dissection. Five patients had acute and two had chronic dissection. In five
patients, the proximal entry tear was within 2 cm of the origin of the left
subclavian artery, and in two patients it was beyond this site. In three
patients, the noncovered proximal portion of the stent-graft was placed across
the origin of the left subclavian artery. The efficacy of the procedure was
assessed at follow-up studies 3, 6, 12, and 24 months after intervention.
RESULTS: The procedure was technically and clinically successful in six patients
(86%). The left subclavian artery remained patent in all patients. In two
patients with involvement of aortic branches, endovascular stent-graft placement
restored adequate blood flow to the compromised branches. One patient was
readmitted 1 month later because the dissection extended into the ascending
aorta. In all but this patient, closure of the entry tear and thrombosis of the
false lumen along the stent-graft were achieved. All false lumina shrank
considerably. The mean follow-up time was 14 months (range, 1-25 months).
CONCLUSION: Type B aortic dissections within and beyond 2 cm of the origin of
the left subclavian artery can be treated safely and effectively by means of
endovascular stent-graft placement.







