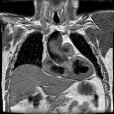
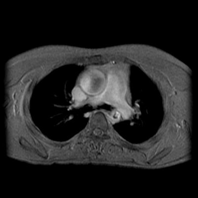
Post stenotic aortic dilatation
There is dilatation of the ascending aorta shown on the MR images below. The sinotubular junction is not affected. Flow void within the ascending aorta on flow images is related to turbulent flow associated with the stenotic aortic valve. The patient also has a coartation of the descending aorta. Turbulent flow void can be seen at the site of coarctation. About 50% of patients with aortic coarctation have a bicuspid aortic valve which can prematurely degenerate.










