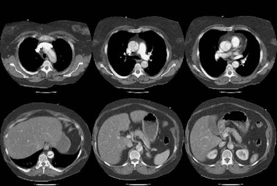
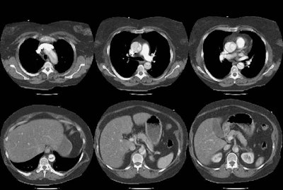
Aortic Dissection: Type A (DeBakey Type I):
The intimal flap can be clearly identified within both the ascending and descending aorta. Note that the celiac trunk and superior mesenteric artery both arise from the false lumen.

The intimal flap can be clearly identified within both the ascending and descending aorta. Note that the celiac trunk and superior mesenteric artery both arise from the false lumen.
