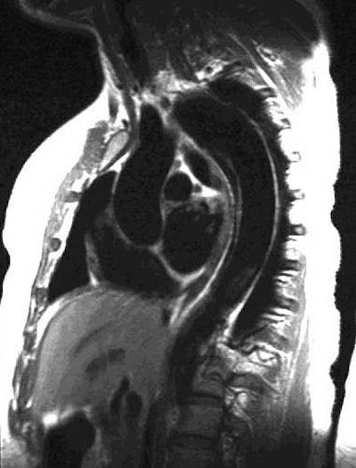
Type B Aortic Dissection:
Oblique sagittal SE images showing the flap originate adjacent to the origin of the left subclavian artery and
extending down into the abdomen:


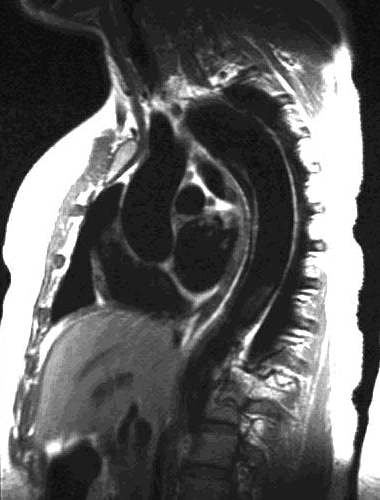
Oblique sagittal SE images showing the flap originate adjacent to the origin of the left subclavian artery and
extending down into the abdomen:

