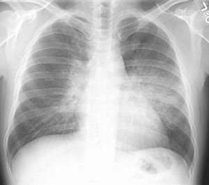
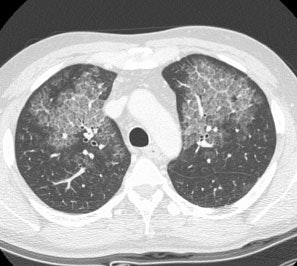
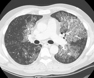
Alveolar Proteinosis:
The patient presented for evaluation of progressive shortness of breath. The CXR demonstrated bilateral perihilar infiltrates producing an appearance of pulmonary edema. HRCT exam revealed central areas of ground glass attenuation with underlying septal thickening producing a "crazy paving" appearance. Click images to enlarge.










