BOOP presenting with pulmonary nodules:
|
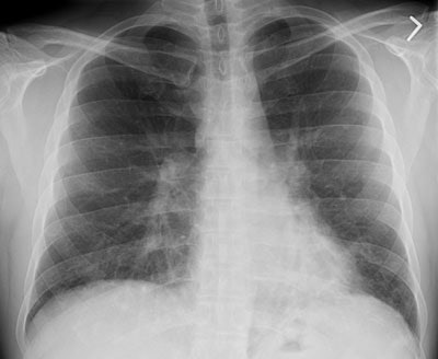
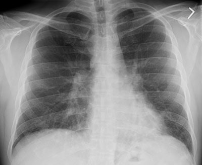
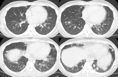
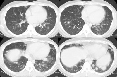
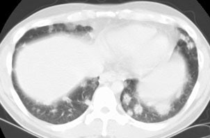
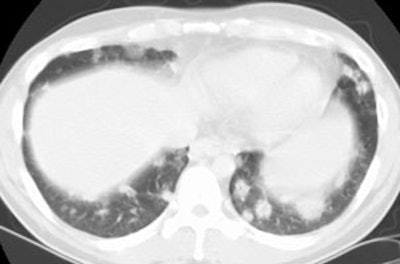
The patient below presented with complaints of cough, malaise, and a low-grade fever. The chest radiograph revealed some patchy left lower lobe airspace disease and vague nodular shadows- particularly in the lower lung zones. A chest CT was performed and demonstrated multiple nodular airspace abnormalities with variable margins. The lesions did not improve despite antibiotic therapy and all cultures were negative. Click images to enlarge. |
|
|
|
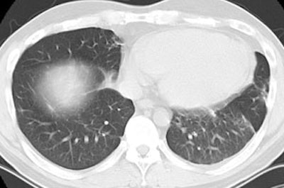
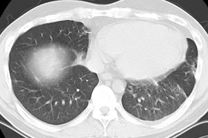
Open lung biopsy confirmed the diagnosis of BOOP. Following institution of therapy with steroids the lung lesions resolved. Click images to enlarge.
|
|
|











