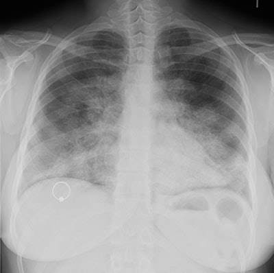
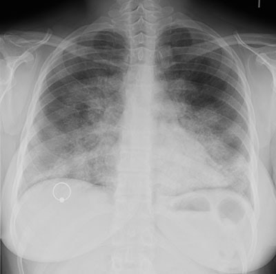
Alveolar Proteinosis
The CXR below demonstrates the characteristic findings in this disorder. There are confluence areas of alveolar consolidation in a "bat-wing" configuration which mimics pulmonary edema, although the heart size is normal and pleural effusions are absent.
Click image for larger view








