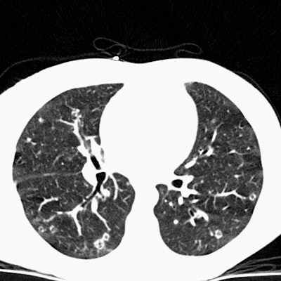
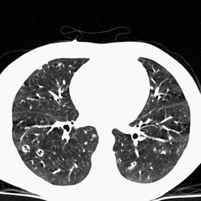
Scott WilliamsThoracic ImagingAutoimmuneAutoimmune > EG > Images > Case3Scott WilliamsApr 2, 2002 Eosinophilic Granuloma Case 3: In this example of pulmonary eosinophilic granuloma. Computed tomography of the chest demonstrated multiple thin walled cysts, cavitating nodules, and scattered non-cavitary nodules. Latest in AutoimmuneAutoimmune > Hyalinizing granulomaOctober 19, 2020Autoimmune > DrugsOctober 19, 2020Autoimmune > DrugsMarch 12, 2018Autoimmune > EG > Images > Case5July 31, 2011Related StoriesAutoimmuneAutoimmune > Lymphomatosis > Images > Case1AutoimmuneAutoimmune > Sarcoid > Images > Sarcoid7AutoimmuneAutoimmune > IPFibrosis > UIPimages > Case1AutoimmuneAutoimmune > Sarcoid > Images > Sarcoid1B