CHICAGO – Black patients receive fewer MRI scans for Alzheimer’s disease diagnosis and undergo imaging at an older age than other racial groups, according to research presented November 27 at RSNA 2023.
Out of 1,699 people who underwent outpatient imaging to assess cognitive impairment at Boston Medical Center, Black patients were less likely to undergo MRI than CT and were significantly older than white and Hispanic patients at the time of imaging, according to presenter Joshua Wibecan, MD.
“If disparity in obtaining access to neuroimaging is one possible barrier that delays diagnosis, it is important to identify this and figure out possible solutions to benefit these patients and prevent a delayed diagnosis,” Wibecan noted.
Previous studies have shown that Black patients are at increased risk of Alzheimer’s disease and other types of dementia, yet are less likely to have a diagnosis and are diagnosed at a more advanced stage of disease compared with white patients. While medical imaging – ideally with MRI – plays a key role in the diagnostic work-up of patients, it is unknown how disparities in imaging access may lead to these delays, Wibecan said.
To that end, the researchers identified all outpatient CTs of the head, CT angiographies of the head, and MRI brain exams performed for cognitive impairment at their hospital between March 2018 and February 2022 (n = 1,699).
They split the cohort into groups based on patient self-identified race – Black/African American (n = 697), white (n = 377), Hispanic or Latino (n = 275), and other groups collapsed into an Other group (n = 275) – and calculated average age at imaging and the percentage undergoing MRI for each group.
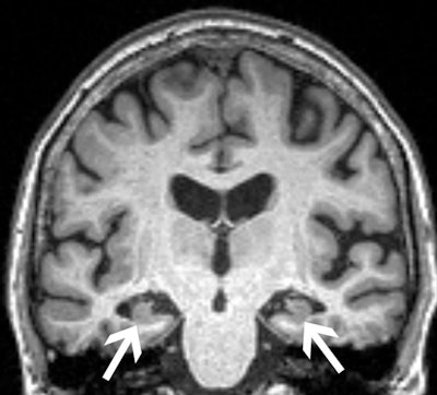
A brain MRI in patient with mild cognitive impairment. Image courtesy of Joshua Wibecan, MD.
According to the findings, only 50.9% of Black patients underwent MRI testing for cognitive impairment, compared with 60% of white patients, 67% of Hispanics, and 68.2% in the Other group. In addition, the average age at imaging for cognitive impairment among Black patients was 72.5 years, compared with 67.8 years for white patients, 66.5 years for Hispanics, and 66.7 years for the Other group.
“Our study demonstrates two main findings. First, Black patients who received MRI or CT for cognitive impairment were significantly older than patients from other races. Second, Black patients were significantly less likely to be imaged with MRI, the optimal type of imaging for cognitive impairment, as opposed to CT,” Wibecan said.
While CT and MRI can both be useful in the detection of cognitive impairment and dementia diagnoses, MRI provides much more detail about brain abnormalities, he noted.
Ultimately, early imaging evaluations are important to identify treatable causes of cognitive impairment, such as tumors, bleeding, or swelling within the brain. Additionally, new treatments have recently become available for Alzheimer’s disease that can potentially slow the rate of decline. Thus, earlier diagnosis may lead to early treatment and a longer period of better cognitive function, Wibecan suggested.
“Further work is needed to understand these racial disparities and reduce barriers to obtain ideal imaging for Black/African American patients,” Wibecan concluded.



















