
The epidemic of opioid abuse is taking a heavy toll across the U.S., one that's become evident to emergency radiologists who are seeing the daily damage in medical images, according to a November 30 presentation at the RSNA 2017 meeting in Chicago.
Emergency radiologists are seeing a high prevalence of complications from opioid abuse, according to the results of a study performed over 12 years by Dr. Efren Flores of Massachusetts General Hospital and colleagues. The researchers studied the cases of 1,031 patients who received imaging exams from 2005 to 2016 for complications related to opioid substance abuse. In all, 66% of the patients were men and 78% were white; their mean age was 36 years.
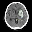
The study revealed a high rate of complications, ranging from symptoms caused by intravenous injections to respiratory issues and back pain. The most frequent complications were related to the skin and soft tissues and were caused by the use of nonsterile needles, Flores said.
37-year-old man with history of broken needle proximal to the right elbow while injecting heroin. Anterior-posterior x-ray view of right humerus shows three linear hyperdensities in the soft tissues of the arm (arrows). Image courtesy of RSNA."In some cases, we found septic emboli in the lung or brain," Flores said in a statement released by the RSNA. "As these patients start having to access larger veins, they become more prone to these types of infections."
Following up on the cases, the researchers found that 121 patients -- or 11.7% of the total -- died before the study period ended. The mortality rate was 14% for patients with a positive imaging diagnosis of complications related to substance abuse -- much higher than the 10% for patients with no history of complications. The five-year mortality rate was also higher in patients with prior prescriptions for opioids and with complications on imaging exams.
The prevalence of opioid-related disorders is giving emergency radiologists a chance to "look beyond the reading room" and find other ways they can help patients, according to Flores. Radiologists can encourage patients to use sterile needles, tell them about needle exchange programs, and advise them to prevent infections by using alcohol at injection sites. Radiologists can also direct patients into recovery programs.
"Radiology is central to patient care in the emergency department setting," Flores said. "We need to be actively advocating for these patients and giving them an opportunity to take steps into recovery."









