
Imaging professionals need their equipment to be practical and adaptable, so the new digital x-ray technologies on display in the exhibition halls at ECR 2016 have been designed to produce high-quality diagnostic images across a range of clinical applications, while allowing the patient to maintain a comfortable (and dignified) posture.
That was certainly the goal of Toshiba's engineers in designing the Infinix-i Rite Edition, with its ceiling-suspended C-arm that can be rotated at a speed of 80ï‚° per second around the patient to any targeted anatomical region. The detector and the beam collimator are fully synchronized, and whatever angle is chosen for image acquisition, the image is automatically shown heads-up on the clinical display.
Image of a renal aneurysm acquired with Toshiba's Infinix-i Rite Edition digital radiography system."We focus on patient comfort, so our philosophy is to move neither the patient nor the table, but the hardware," noted René Degros, the company's European x-ray business unit manager.
As interventional procedures become more complex, advanced 3D acquisition is becoming increasingly important, he pointed out. There is also an emphasis on flexible, responsive technology, so the C-arm's lateral movement allows it to be moved out of the way during a procedure. During lung biopsies, for example, the unit can be flipped through 180ï‚° to place the flat-panel detector beneath the patient table.
The system is equipped with tableside controls to improve workflow. It also offers Toshiba's DoseRite package, which includes a range of tools developed to reduce radiation exposure for both clinicians and patients, including the Live Zoom, RiteSpot, and real-time dose-tracking features.
3D image of a hand taken with Siemens' Multitom Rax twin robotic x-ray system. Copyright: Clinic for Radiology and Nuclear Medicine, Basel University Hospital, Switzerland. Image courtesy of Siemens.A similar patient-centric approach influenced Siemens' strategy in developing Multitom Rax, a twin robotic x-ray system. The technology has a broad range of potential applications in radiography, orthopedics, angiography, fluoroscopy, and trauma imaging. Indeed, the system is so versatile that it has been described as "radiology's answer to the Swiss army knife" by clinicians at Erlangen University Hospital in Germany, where the first system was installed in October 2015.
The system has two ceiling-mounted arms, one of which supports the x-ray tube and the other carries the 43 x 43 cm flat-panel detector. The robotic technology allows both arms to be moved automatically while fine adjustments can then be made manually by the operator.
"The precise positioning of the arms in all three planes makes the examination so much easier, regardless of whether the patient is standing, sitting or lying down. Our strategy is based on the principle that the system moves, not the patient, which reduces the risk of additional injuries and pain," explained Francois Nolte, head of the company's x-ray products business line.
Clinical image of an x-ray examination of the ankle joint. Copyright: Radiology Department, University Hospital Erlangen, Germany. Image courtesy of Siemens.The machine can record static, dynamic, and real-time 3D sequences, and the full range of its potential applications is still to be explored. But there are clinical applications in which it already appears to have advantages over CT, notably in investigations of upper limb fractures in obese patients and weight-bearing lower-limb bone examinations of diabetics, he added.
Fujifilm staff are demonstrating a range of DR panel and image processing systems designed to improve workflow and patient outcomes. The company's Virtual Grid image processing software can adapt contrast to improve image quality for exams acquired without a grid. While this processing has been available for some time for chest and abdominal examinations, it can now be used for all body parts, offering a potential workflow improvement for mobile imaging applications where the use of a physical grid is most challenging and can disrupt patient comfort.
Tests on phantoms have shown that the product offers comparable image quality at a 30% to 40% lower dose than with a physical grid, so the implications for dose reduction with this image processing technology cannot be ignored, according to a company statement.
Carestream also has been seeking improvements in dual radiography-fluoroscopy technologies. Its DRX-Excel Plus system can perform contrast exams using fluoroscopy that can be associated with a radiography image, in addition to specialized procedures that record both fluoroscopy and radiography sequences.
The system offers a source-to-image detector distance of 180 cm, an ergonomic design, and an elevating table that tilts and can be lowered or raised to provide flexible, comfortable imaging for patients. In addition, it is presented with new detectors that are thinner and lighter than previous models and offer higher detective quantum efficiency to enable improved image quality and lower dose. The newly designed detectors are also more robust than previous systems, and the battery life has been significantly increased for greater productivity, the vendor states.
Enhanced workflow is the key goal of Samsung's new S-Guide software. Using this technology, radiology staff can set optimal collimation area and autoexposure control remotely in the control room, without having to move into the examination room. It also reduces the frequency of retakes as the product identifies incorrect positioning of patients, which can be a particular problem in pediatric cases. The device also offers a novel bone-suppression image enhancement feature, which reduces the prominence of bone structures and emphasizes soft-tissue imaging. This application is expected to be particularly valuable in investigating lung diseases, suggests the company.
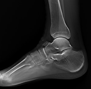
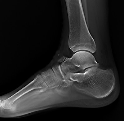
Shimadzu is promoting the latest version of its digital radiography system, RADspeed Pro. The new EDGE version combines the ease of operation and radiation dose reduction features of the existing platform with a number of new features, according to the manufacturer. It now has a tomosynthesis function, allowing the generation of continuous cross-sectional images based on just one single tomographic scan. There is also dual-energy subtraction software for producing images of soft tissues and bone tissues, as well as an autostitching method for images covering the entire lower extremities or spine.
Dual-energy subtraction images of bone and soft tissue. Images courtesy of Shimadzu.
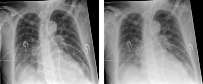
Tomosynthesis image of an ankle taken with Shimadzu's RADspeed Pro digital radiography system.The emphasis of Philips' researchers has been on developing technologies for improving diagnostic quality while eliminating inefficiencies when using mobile digital radiography systems at the patient's bedside. The new SkyFlow scatter correction algorithm reduces the effect of scattered radiation for nongrid bedside chest exams, allowing the operator to obtain DR images with grid-like contrast, but avoiding the time and effort involved in attaching and detaching a grid.
Pelvic radiographs taken with and without SkyFlow scatter suppression algorithm. Image courtesy of Philips.
Chest radiographs taken with SkyFlow scatter suppression algorithm and standard acquisition. Image courtesy of PhilipsOn the GE Healthcare stand, its representatives are keen to discuss new evidence showing the clinical value of its long established digital tomosynthesis technology, VolumeRAD. A recently completed international multicenter clinical trial has demonstrated that the product offers improved detection and management of patients with lung nodules compared with conventional radiography – with a 7.5 times increase in sensitivity for nodules between 4 mm and 6 mm diameter compared with standard x-ray. The device is reportedly 3.6 times more sensitive than conventional two-view computed radiography, without decreased specificity of detection of small lung nodules in the range of 3 mm to 20 mm in diameter.
Originally published in ECR Today on 6 March 2016.
Copyright © 2016 European Society of Radiology














