Success in sports injuries relies on defining technical and clinical approach

2016 03 04 17 29 21 744 Mri Stress Fracture 200

Sports injuries pose unique challenges that set them apart in the world of radiology, particularly when highly driven patients are keen to return to their discipline. Against this demanding backdrop, sports radiologists have to draw on their knowledge, experience, and colleagues from other specialties to correctly define the nature of the injury and expedite swift and effective therapy.

"Firstly, a radiologist needs to fully understand the possibilities of imaging with each different modality and associated instruments," said Dr. Carlo Faletti, who heads up the Italian Society of Radiology and was chair of the imaging and interventional radiology department at the Orthopaedic-Trauma Hospital and Sport Medicine Institute, Turin, Italy, for 18 years. "Secondly, it is important to fully understand the clinical problem and this is only possible if one is a musculoskeletal radiologist, with specific experience in sports medicine, and one has an orthopedic and physiotherapeutic point of view in different musculoskeletal pathologies."

Furthermore, the clinical decision needs to be made jointly with other relevant specialties. Only by working together can we correctly interpret imaging results and take the right approach to managing the injury, he said, adding that the approach chosen was dependent on whether the lesion was in the joint or muscle and whether it was a traumatic acute injury or a lesion relating to overuse.

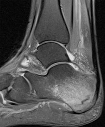
27-year-old female marathon runner. Sagittal STIR MRI shows calcaneal stress fracture paralleling posterior cortex with surrounding marrow edema. Image courtesy of Dr. Justin Lee, Chelsea and Westminster Hospital, London.27-year-old female marathon runner. Sagittal STIR MRI shows calcaneal stress fracture paralleling posterior cortex with surrounding marrow edema. Image courtesy of Dr. Justin Lee, Chelsea and Westminster Hospital, London.

Faletti is keen to see constructive teamwork between the different specialties involved in treating sports injuries, noting that it was essential for a sports doctor to request the right images from the radiologist before an accurate definition can be made. "The radiologist plays a key role in the protocol from defining the lesion to therapy," he asserted.

Faletti, who is the official radiologist for some of the Italian premier and second league football clubs, pointed out that radiologists face immediate challenges on two levels: defining the correct technical approach to an injury, but also defining the nature of the clinical problem. "I have to know a strain from stiffness of a muscle or tendon, as well as the site and characteristics of a lesion because the lesion might be either an acute or a degenerative lesion."

He also noted that during the acute phase it was not always easy to define the degree of the lesion. He added that protocols were available to help with this and that radiologists needed to adhere to the right sequence of images to precisely define the nature of lesions.

"It is also important to use the high-performance ultrasound machine and correct sequences in MRI to define the site of the lesion, the entity of the lesion, and if other lesions exist," Faletti said. "The high quality of the images and correct sequences will define exactly which lesion it is."

On this note, he added that the first stage for all joint injuries was x-ray. For muscle tendon lesions, he suggested using ultrasound initially and then MRI for muscle tendon and joint lesions. For follow-up of a muscle tendon injury, he pointed out that ultrasound was sufficient, but for the joint, it was preferable to use MRI, especially if a bone fracture was present. When further following up muscle tendon lesions, MRI should be used for the final examination prior to an athlete returning to action.

But essentially, and of relevance across all specialties treating the patient, Faletti noted that seeking and obtaining valuable information was of primary importance to determine the right therapeutic approach. "Know the problem, use the correct technical approach, and carefully consider the interpretation to ensure a good report."

A 24-year-old male professional football player who presented with sudden onset of pain following striking of the ball. Coronal STIR MRI demonstrates focal defect within the left rectus femoris central muscle at the musculotendinous junction (grade II strain). Note the feathery edema pattern within the muscle radiating from the primary injury site.A 24-year-old male professional football player who presented with sudden onset of pain following striking of the ball. Coronal STIR MRI demonstrates focal defect within the left rectus femoris central muscle at the musculotendinous junction (grade II strain). Note the feathery edema pattern within the muscle radiating from the primary injury site. Extended field-of-view ultrasound demonstrates loculated hematoma at the musculotendinous junction with surrounding increased reflectivity within the rectus femoris muscle. Images courtesy of Dr. Justin Lee, Chelsea and Westminster Hospital, London.Extended field-of-view ultrasound demonstrates loculated hematoma at the musculotendinous junction with surrounding increased reflectivity within the rectus femoris muscle. Images courtesy of Dr. Justin Lee, Chelsea and Westminster Hospital, London.

At today's session, he plans to highlight the importance of gaining technical experience in using different modalities including x-ray, ultrasound, MRI, and CT, in line with guidelines. He will also discuss interventional radiology and consider how radiologists need to work with sports medicine doctors or orthopedic doctors in providing image-guided interventions to treat lesions. A typical case might involve using ultrasound or CT guidance to treat a lesion of the joint cartilage or the synovial sheath with local therapy. "This imaging guide helps us determine where we need to introduce the needle for the correct application and what type of therapy is better to use."

Moderating today's session will be Dr. Mario Padron, who is chair in the department of radiology at Clinica Cemtro, Orthopedic Institute, Madrid.

As radiology expert of the Spanish Olympic Committee and senior consultant in imaging of the Spanish Royal Federation of Athletics, he takes an active role in the management of some of Spain's foremost sportsmen and women. Asked what core message he would offer relating to the diagnosis and management of sports injuries, he said: "Sports injuries do not just require a prescription requesting MRI or ultrasound, but these injuries must be dealt with by multiple actors, with all opinions considered, and taking a multimodality approach."

Reflecting Faletti's thoughts, Padron also noted that a sports physician must be up to date on all new imaging modalities, including a good knowledge of the correct and most appropriate use for each, depending on the environment in which the radiologist is working. He also highlighted that physiotherapists were required to know the correct terminology of the imaging modalities, and likewise the surgeon must be knowledgeable about how to source relevant information from an imaging report.

"The radiologist must be involved in a team that speaks the same language and has the same ideas of how to deal with a sport injury," he said.

Originally published in ECR Today on 5 March 2016.

Copyright © 2016 European Society of Radiology

Page 1 of 6
Next Page