
A synoptic, or summary radiology report, improves pretreatment CT planning for patients with advanced ovarian cancer compared to a simple structured report, according to a study published on July 12 in the American Journal of Roentgenology (AJR).
The findings show that a relatively simple change in imaging report style can improve patient care by helping cancer surgeons plan procedures, wrote a team led by Pamela Causa Andrieu, MD, of Memorial Sloan Kettering Cancer Center in New York City.
"An ovarian cancer synoptic report increased completeness of reporting, facilitating referrer communication and having the potential to improve clinical decision-making," Andrieu said in a statement released by AJR.
CT is the current gold standard for assessing tumor extent in ovarian cancer sufferers, and an accurate report is key for guiding surgeons' treatment planning, the team noted. Yet the traditional free-text radiology reports may not include findings that would best support this -- which is why a summary report that features a disease-specific checklist makes sense, the group explained.
Andrieu's team sought to compare the efficacy of simple versus synoptic reports via a study that included 205 patients who underwent contrast-enhanced abdominopelvic CT between June 2018 and January 2022 before being treated for advanced ovarian cancer. Before March 2020, CT exam readers generated 128 free text reports. After April 2020, they produced 77 synoptic reports that consisted of a list of 45 anatomic sites pertinent to the management of ovarian cancer.
The summary reports were reviewed for completeness of documentation and for patients who underwent chemotherapy prompted by diagnostic laparoscopy findings or who had less-than-successful primary debulking surgery. The group reviewed electronic medical records to pinpoint sites of unresectable or challenging-to-resect disease.
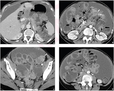
A 62-year-old woman who underwent pretreatment CT for suspected advanced ovarian cancer. A simple structured CT report described the presence of peritoneal implants in six anatomic locations. The disease was considered resectable based on the CT report, and primary debulking surgery was performed. However, the surgery yielded suboptimal resection. Axial contrast-enhanced images from pretreatment CT show disease involvement of sites of residual disease at surgery that were not mentioned in the report, including the gastric wall (stars, A), colonic wall (arrows, B and C), and small bowel mesentery (arrowhead, D). Images and caption courtesy of AJR.The investigators surveyed eight gynecologic oncology surgeons regarding the two types of reports, all of whom completed the questionnaire.
The team found the following:
- Producing a synoptic report took more time, at 54.5 minutes compared to 29.8 minutes for simple structured reports.
- In patients who underwent CT before ovarian cancer treatment, surgically unresectable or challenging-to-resect disease sites were mentioned in 37% of simple structured reports and 100% of the synoptic reports.
- All of the gynecologic oncology surgeons surveyed stated that synoptic reports improved their treatment planning.
"Implementation of a synoptic report improved the completeness of pre-treatment CT reports in patients with advanced ovarian cancer in comparison with simple structured reports," the authors concluded. "In particular, the synoptic report resulted in significantly more frequent reporting of disease in unresectable or difficult-to-resect sites. The findings indicate the role of disease-specific synoptic reports to facilitate communication with gynecologic oncology surgeons and thereby help guide clinical decision-making."
The complete study can be found here.




















