
Dutch artificial intelligence (AI) software developer Thirona has partnered with software developer Smart Reporting to create software that enhances COVID-19 detection by combining image analysis with structured reporting.
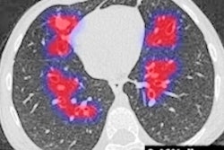
SmartCAD | COVID-19 uses Thirona's CAD4COVID-CT algorithm and Smart Reporting's COVID-19 reporting template to provide direct analysis of chest CT images and then transfers the results into a structured report.
The output includes a COVID-19 severity score on lung and lobar level, the percentage of abnormalities detected for each lobe and the lungs overall, and the percentage of lobar emphysema.



















