Dear Artificial Intelligence Insider,
Artificial intelligence (AI) is poised to improve the delivery of healthcare. That could mean now is a good time to address a number of important ethical challenges in order to realize the full benefits of the technology, according to a new article in the New England Journal of Medicine.
In an editorial perspective, researchers from Stanford University shared their opinions on key ethical issues such as the potential for unethical or cheating algorithms and the lack of understanding of the limitations or extent of algorithms. Find out more by reading this issue's Insider Exclusive.
The potential for AI to enable significant reductions in radiation dose is one of the technology's most promising applications in medical imaging. At the recent SPIE Medical Imaging 2018 conference in Houston, a multi-institutional team found that a deep learning-based image processing technique may be able to sharply lower radiation dose from digital breast tomosynthesis exams -- perhaps by as much as 80%. How did the researchers do it? Click here for our coverage.
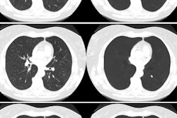
Not surprisingly, AI was the top trend at the recent European Congress of Radiology (ECR) in Vienna. Click here for our report. You can also learn about how AI can help distinguish lung nodules on CT scans and how it can detect intracranial calcifications.
In addition, AuntMinnieEurope.com Editor-in-Chief Philip Ward conducted several video interviews on AI topics, including discussions on how AI can help everybody involved in medical imaging, how to tap the full potential of AI, and how the technology can transform the working lives of radiologists. In addition, ECR 2018 President Dr. Bernd Hamm offered his thoughts on the impact of AI.
AI could also help in the fight against gadolinium deposition. Stanford researchers have trained a deep-learning algorithm that may enable gadolinium-based contrast agents to be used at just 10% of the current dose levels. Click here for all of the details.
Researchers from the University of Pittsburgh Medical Center have developed a deep-learning algorithm that can provide automated analysis of breast density on screening mammograms.
How can radiologists prepare for AI? Dr. Saurabh Jha from the University of Pennsylvania and Dr. Eric Topol from the Scripps Translational Science Institute in La Jolla, CA, have some ideas. You can access our summary of their recent editorial by clicking here.
Is there a story you'd like to see covered in the Artificial Intelligence Community? Please feel free to drop me a line.




















