Friday, December 6 | 11:50 a.m.-12:00 p.m. | SST08-09 | Room E353A
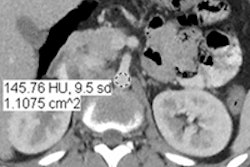
In this scientific session, Duke University researchers will present their software algorithm for automatically segmenting organs in contrast-enhanced abdominal CT scans.Delineation of organs on CT scans is a key component to computer-aided detection, radiotherapy planning, and presurgical planning. However, manual segmentation is often labor-intensive and suffers from intraobserver and interobserver variation, said researcher Qiang Li, PhD.
Automatic and semiautomatic segmentation methods have been proposed, but they remain challenging in comprehensive clinical studies, Li said. As a result, the researchers sought to develop a generic algorithm for segmentation of multiple abdominal organs from contrast-enhanced CT scans.
The team's automated segmentation algorithm was found to greatly improve the efficiency and consistency of organ localization and contouring, according to Li.
"It facilitates computer-aided detection, radiotherapy, and presurgical planning in clinical practice," Li told AuntMinnie.com.




















