
High-density breast masses are three times more likely to be malignant than their low-density counterparts, according to new research published online in Radiology. And adding mass density to already established predictors such as a lesion's margin and shape could help reduce unnecessary biopsies.
That's according to a University of Wisconsin, Madison, research team led by Ryan Woods, MD. The group examined 348 consecutive breast masses in 328 women who had image-guided or surgical biopsy between October 2005 and December 2007 (Radiology, December 21, 2010).
"There are several things mammographers use to determine whether a mass is malignant and therefore should be biopsied," Woods told AuntMinnie.com. "We primarily use margin and shape of mass. But density can also be a factor."
Analog mammography exams were performed with Senographe DMR (GE Healthcare, Chalfont St. Giles, U.K.) or M-IV (Hologic, Bedford, MA) units; digital mammography exams were taken with Senographe 2000D (also GE Healthcare). Women received analog or digital exams depending on availability.
Three radiologists retrospectively assessed mass density of the 348 lesions. Of the 348, 180 (51.7%) had been prospectively assessed for mass density at the time of initial interpretation, the authors wrote; one radiologist assessed these 180 lesions for density.
Of the 348 lesions retrospectively assessed, 70.2% of high-density masses were malignant, while 22.3% of low-density masses were malignant. In the prospective assessment, high density, irregular shape, spiculated margins, and patient age were associated with breast lesion malignancy, according to the authors.
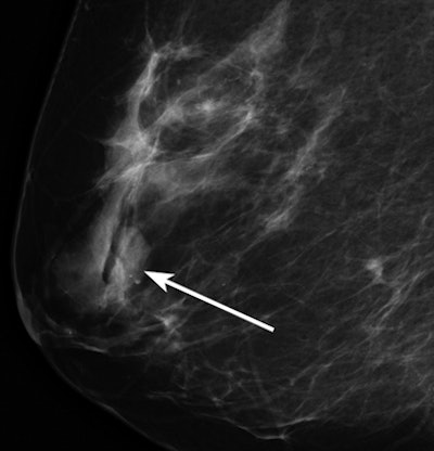
![]() |
| Mammographic image of a low-density mass (arrow). All images courtesy of the Radiological Society of North America. |
![]() |
| Mammographic image of an isodense mass (arrow). |
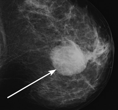
![]() |
| Mammographic image of a high-density mass (arrow). |
Other studies have tried to determine whether mass density is useful for evaluating breast lesion malignancy, but they have run into the challenge of how to compare lesions to an equal volume of healthy breast tissue. This study differed from these others in its retrospective and prospective analysis, and the use of a logistic regression model to analyze results, according to Woods and colleagues.
Adding the factor of a breast lesion's density to clinical assessment could help stratify the risk of malignancy, and help radiologists improve the positive predictive value (PPV) of biopsy, the authors wrote. The study found that the PPV of high mass density was slightly greater than 70% -- which doesn't suggest that mass density is sufficient in itself to obviate the need for biopsy. But it could be used with the additional factors of mass margin and shape.
Previous research has found that overall breast density -- as opposed to the density of a particular mass -- can be a predictor of a women's cancer risk. But the current study actually found that women with lower breast density had greater likelihood of having malignant lesions than women with high-density breast tissue. Woods' team attributed this finding to the fact that the women in the cohort with malignancies were older and had lower-density breast tissue.
The study shows that breast mass density is a significant predictor of malignancy, even after controlling for other variables, according to the authors. Radiologists should consider the density of a mass as they try to stratify a woman's cancer risk.
"If this kind of research helps women make better decisions about biopsy, that's great," Woods said. "That's our goal -- to be able to tell a patient that she can safely forego a needle biopsy."
By Kate Madden Yee
AuntMinnie.com staff writer
January 6, 2011
Related Reading
High breast density linked to cancer, October 29, 2010
Komen highlights dense breast risk, October 18, 2010
Breast density linked to higher breast cancer risk after DCIS, October 7, 2010
New imaging tools address challenges of dense breast tissue, September 14, 2010
Vitamin D, calcium intake not linked to postmenopausal breast density, August 16, 2010
Copyright © 2011 AuntMinnie.com
























