
MRI reconstruction based on deep learning for shoulder exams allows clinicians to reduce scan times via accelerated protocols without compromising image quality, according to a study published September 15 in the American Journal of Roentgenology.
A team led by Dr. Seok Hahn of Inje University College of Medicine in Busan, South Korea, found that faster MRI shoulder scans fortified by deep learning reduced scan time by more than two-thirds.
"Accelerated sequences with deep learning-based reconstruction (DLR) provide 67% scan time reduction with similar subjective image quality, artifacts, and diagnostic performance as standard sequences," the group wrote.
MRI is a good imaging modality for patients presenting with shoulder pain, due to its ability to visualize soft-tissue structures, Hahn and colleagues noted. Typically, patients undergo shoulder MRI exams that include high-resolution sequences in multiple planes using 2D fast spin-echo sequences. But these tend to translate into long scan times and can be skewed by motion artifacts, they wrote.
Accelerated sequences for shoulder MRI show promise but do produce noisier images. Hahn's group sought to explore whether adding deep-learning reconstruction could address this limitation.
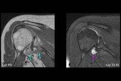
The study included 105 patients who underwent 110 MRI exams. The investigators compared standard shoulder MRI sequences (9 minutes) and accelerated ones (3 minutes) for image quality and diagnostic performance; all patients had both. Standard sequences were reconstructed with conventional techniques, while the accelerated sequences were reconstructed with a conventional technique alone and with a conventional technique plus a deep learning algorithm (AIR Recon DL, GE Healthcare).
Two radiologists evaluated the MRI images for image quality and clarity using a four-point scale (with 1 representing poor and 4 indicating excellent). They also assessed images for artifacts using a four-point scale (with 1 meaning severe artifacts and 4 signifying no artifacts). Scores for each of three imaged planes were added for a total score of 3 to 12 for both image quality and artifacts.
The accelerated MRI shoulder exam sequences were accomplished in 67% less scan time, although they did have poorer image quality and artifacts compared with the standard sequences. But using the deep learning-based reconstruction helped, however.
| Impact of deep-learning reconstruction on MRI shoulder exam quality | |||
| Measure | Standard sequence | Accelerated sequence without deep learning | Accelerated sequence with deep learning |
| Mean subjective image quality | |||
| Reader 1 | 10.6 | 8.1 | 10.7 |
| Reader 2 | 10.5 | 7.2 | 10.5 |
| Mean artifact score | |||
| Reader 1 | 9.3 | 7.3 | 9.4 |
| Reader 2 | 10 | 9.1 | 9.8 |
Using deep-learning reconstruction for this MRI application shows real potential, according to the authors.
"[Our] findings indicate a role for deep learning-based reconstruction to substantially reduce should MRI scanning times by facilitating the clinical application of accelerated sequences," they concluded.




















