
Is there a link between the SARS-CoV-2 vaccine and myocarditis identified on cardiac MRI? Perhaps, but more research to determine the possible connection is needed, according to two case study reviews published June 16 in JACC: Cardiovascular Imaging.
One set of four case studies was presented by a team led by Dr. Kirsten Shaw of Abbott Northwestern Hospital in Minneapolis, while another set of six was presented by Dr. John Dickey of University of Massachusetts Medical School in Worcester and colleagues.
"These case series raise the possibility of an association primarily based on the occurrence of myocarditis in close time proximity with COVID-19 vaccination," Shaw's group wrote.
As the COVID-19 pandemic spread around the world in 2020, researchers raced to develop a vaccine, resulting in the U.S. Food and Drug Administration (FDA) granting emergency use authorization for the Pfizer-Bio Tech and Moderna vaccines in December. As these vaccines and others are administered, more data have been gathered regarding any adverse vaccine reactions, Shaw and colleagues noted.
"Our knowledge regarding adverse reactions to these vaccines continues to grow," the team wrote.
Shaw's team presented cardiac MRI findings from four patients who had received either COVID-19 vaccine and then developed acute myocarditis, diagnosed using cardiac MRI.
Of the four patients, two who had contracted COVID-19 developed symptoms after their first vaccine dose, while two who had not contracted the disease developed symptoms after their second dose, the team discovered.
"The fact that the two patients with prior COVID-19 infection developed symptoms following their first dose, and the two patients without prior COVID-19 infection developed symptoms following their second dose, raises interesting possibilities about a potential immune-boosting mechanism after prior immune exposure or priming," Shaw's team noted.
As for Dickey and colleagues' case study set, six patients developed cardiac MRI-proven myocarditis soon after receiving either Pfizer or Moderna COVID-19 vaccinations.
"While the clinical presentation, cardiac MRI findings and temporal association strongly suggest the possibility of vaccine-associated myocarditis in our six patients, we cannot conclude definitively that COVID-19 vaccine was causative or that other etiologies for myocarditis can be definitively excluded in our patients," this group wrote.
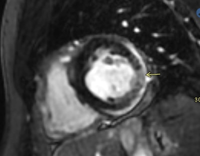
Additional case of myocarditis in a young male (26-30 years old) presenting to the hospital three days after a second mRNA Covid vaccine. The patient underwent a cardiac MR ten days post vaccine; images above show a focal area of edema and delayed enhancement in the mid-inferolateral segment. There is also a trace pericardial effusion with enhancement of the pericardium indicating pericarditis in addition to the myocarditis. Images courtesy of Dickey team co-author Dr. David Gerson of University of Massachusetts Medical School in Worcester.Although these case studies represent a very small set of patients, they may help shed light on patient reactions to COVID-19 vaccines -- with advanced imaging playing a crucial role, according to Shaw's group.
"[Our] small case series ... does not prove that the COVID-19 vaccination was the cause of myocarditis, nor does it completely exclude spontaneously occurring myocarditis in these four individuals," they concluded. "However, documenting such findings is important given that the [U.S. Centers for Disease Control and Prevention] and other regulatory agencies are now actively investigating this possible adverse reaction to the Pfizer-Bio Tech and Moderna COVID-19 mRNA-based vaccines. Larger studies that vigilantly evaluate such patients using advanced imaging techniques might help clarify any possible causative association."





















