
Yale University is working with Hyperfine Research to bring a portable point-of-care (POC) MRI scanner to the neurology intensive care unit (ICU) of Yale New Haven Hospital.
Hyperfine's MRI system is now in use at the facility as part of a two-year study with the American Heart Association to overcome logistical and clinical barriers that have prevented the use of routine scans on patients in the neurology ICU.
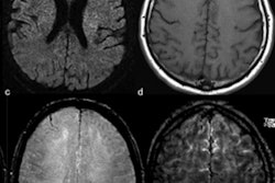
The Hyperfine POC MRI can be moved to the patient's bedside and uses power from a nearby wall outlet. The hospital is testing the device's effect on clinical workflow and is assessing its user interface and image quality. So far, the portable device has been used to perform 138 brain MRI exams of 123 patients with known brain pathology, including hemorrhages, ischemic stroke, hematomas, tumors, and edema.
To evaluate the scanner's performance, clinicians also are collecting anonymized images from standard MRI and CT scans of the same patients. Preliminary findings of the research are expected to be announced in early 2020.
Hyperfine's portable POC MRI currently is pending 510(k) clearance from the U.S. Food and Drug Administration.


.fFmgij6Hin.png?auto=compress%2Cformat&fit=crop&h=100&q=70&w=100)




.fFmgij6Hin.png?auto=compress%2Cformat&fit=crop&h=167&q=70&w=250)











