
Introduction
The training regimen for competitive figure skating requires long hours, and skaters are subjected to repetitive high-impact activities. These athletes are generally able to accommodate the enormous stress and impact inherent to repetitive jumps and landings. However, as with other intense athletic activities, the training often leads to stress and overuse injuries (American Journal of Sports Medicine, May-June 1990, Vol.18:3, pp.277-279).
Typical injuries can be either acute or chronic, and most of these injuries affect the lower extremities.
Clinical history
A 22-year-old woman who is a competitive figure skater said she has had chronic left knee pain for approximately 8-10 months. The pain began after she increased the duration and intensity of her training regimen. She reported a significant increase in her knee pain recently, and was unable to continue her training activities.
Physical exam and radiographic findings
The patient walked into the examination room with a noticeable limp, and was exquisitely tender along the medial portion of the proximal left tibia. No warmth or erythema was noted, and no significant soft-tissue swelling was present.
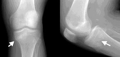
Radiographic examination demonstrated a linear region of sclerosis in the left proximal metaphyseal tibia in the approximate region of the physeal scar. Additionally, there was a slight varus deformity of the proximal medial tibia, and bowing of the medial metaphyseal cortex.
|  | 
| Radiographs demonstrate a linear region of sclerosis in the metaphyseal region of the physeal scar (white arrows). There is also slight bowing of the medial mediphyseal cortex (left image). | 
MRI revealed a linear signal abnormality oriented horizontally 2-3 cm inferior to the medial tibial articular surface. The linear signal abnormality was dark on both T1- and T2-weighted images, and was surrounded by a substantial amount of bone marrow edema.
|  | 
| Sagittal T1 (left) and T2 (right) MR images reveal a linear signal abnormality oriented horizontally inferior to the media tibial articular surface (white arrows). The signal abnormality indicating the fracture line is dark on both T1- and T2-weighted images. | 
|  | 
| Coronal T1 (left) and T2 (right) MR images show the linear fracture within the metaphyseal tibia (white arrows). The fracture was surrounded by a substantial amount of bone marrow edema, seen best as the bright signal on the T2-weighted image. Images courtesy of Dr. Douglas P. Beall. | 
Diagnosis
Stress fracture of the tibia.
Discussion
Figure skaters are unique athletes whose daily training periods routinely last from three to eight hours, five to six times per week. The regimens often involve maximum impact on the musculoskeletal system of the lower extremities. Significant shear forces occur regularly during a normal workout. In addition to the high level of stress, the repetitive nature of the training activity can create a situation that predisposes the athlete to stress fractures and chronic overuse injuries.
According to data collected by surveys, up to 20% of world-class skaters have suffered stress fractures at some point in their career. In 1987, a survey of 42 competitive skaters revealed that nine of them had suffered from stress fractures. Four of the fractures occurred during preseason training, and all of the fractures involved the lower extremities from the knee to the foot (American Journal of Sports Medicine, May-June 1990, Vol.18:3, pp.277-279).
In each of these cases, the fracture occurred in the take-off leg (the leg used for jumping and pushing off during rapid accelerations). The time from the onset of symptoms to a definite diagnosis ranged from 2-10 weeks, and all of the skaters were able to resume a pre-injury level of activity within three to seven months from the time that treatment was initiated.
Other injuries have been reported with figure skating, including muscle strains, ski boot-related malleolar bursitis, and injuries related to lifting maneuvers in pairs skaters (Physical Medicine and Rehabilitation Clinics of North America, February 1999, Vol.10:1, pp.177-188, viii; American Journal of Sports Medicine, January-February 2000, Vol.28:1, pp.109-111).
In one report, female pairs skaters reported an average of 1.4 serious injuries per skater (serious injuries were defined as injuries causing the skater to alter training significantly or to stop training completely for at least seven consecutive days). In addition, other groups of skaters averaged more than 0.5 serious injuries per skater over a nine-month period.
Despite the relatively high incidence of injuries compared with various other winter sports, the overall rate of injury has been recorded at 1.4 injuries per 1,000 hours of training (Journal of Sports Science, February 1992, Vol.10:1, pp. 29-36).
Compared with other sporting events, this is a modest injury rate. Preskating activities such as adequate warm-up, stretching, and sufficient break-in time for new equipment can contribute to keeping the injury rate as low as possible.
Stress fractures are, by nature, chronic injuries and are usually well evaluated with plain-film radiography. They are most often seen as a band of medullary sclerosis without cortical disruption, but more advanced stress fractures may also demonstrate partial or complete disruption of the bony cortex.
MRI or a nuclear medicine bone scan may be necessary to detect a portion of the stress fractures not seen on plain film. Both modalities are very sensitive for detecting chronic fractures. One or both exams should be utilized in cases where stress fractures are suspected but not seen on the initial radiographic exam.
Conclusion
Figure skating is a demanding sport involving repetitive impact forces and long training regimens. Injuries seen in this sport are mostly chronic overuse injuries, and many skaters have reported having a stress fracture at some point in their careers. This relationship should be understood, and any skater with chronic lower extremity pain should be adequately evaluated for a stress fracture as the etiology of their pain.
By Dr. Douglas P. BeallAuntMinnie.com contributing writer
February 14, 2002
Dr. Beall is a staff radiologist in the musculoskeletal division, department of radiology at Wilford Hall Medical Center, Lackland Air Force Base, TX. He also is an assistant professor of radiology, department of radiology and nuclear medicine, Uniformed Services Health University in Bethesda, MD.
The opinions and assertions expressed herein are the private views of the author, and are not to be construed as official or as reflecting the view of the Department of the U.S. Air Force, U.S. Department of Defense, or the U.S. government.
Copyright © 2002 AuntMinnie.com



.fFmgij6Hin.png?auto=compress%2Cformat&fit=crop&h=100&q=70&w=100)



.fFmgij6Hin.png?auto=compress%2Cformat&fit=crop&h=167&q=70&w=250)











