
A monoclonal antibody-based agent could prove useful for diagnosing and treating patients with pancreatic cancer, according to research presented this week at the Society of Nuclear Medicine and Molecular Imaging (SNMMI) meeting.
Researchers led by Dr. Christian Lohrmann of Memorial Sloan Kettering Cancer Center presented their work with the human monoclonal antibody HuMab-5B1, which targets the cancer antigen (CA) 19-9. The antigen is expressed on tumors of the pancreas and other malignancies, including small cell lung cancer and tumors of the gastrointestinal system.
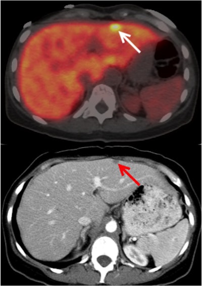
Lohrmann and colleagues investigated HuMab-5B1 with and without radiolabeling with zirconium-89 (Zr-89 DFO HuMab-5B1). Nine patients with metastatic malignancies that were positive for CA 19-9 received four whole-body PET/CT scans, the first performed on the first day of injection with the imaging agent, and then again on day 2 and around days 4 and 7. Individuals also had CT scans before the baseline PET/CT, which were used to verify the results of the radiotracer.
The researchers measured maximum standardized uptake values (SUVmax) for uptake of the agent in tumors. They found significant tracer uptake in local tumor recurrences, as well as in metastases. Uptake was analyzed for a total of 52 lesions; the highest uptake was seen on day 7 in the lymph nodes.

PET/CT with Zr-89 DFO HuMab-5B1 led to the detection of very small tumors in the peritoneum and mesenteric lymph nodes that weren't found by CT alone, the researchers found. They concluded that the radiotracer could lead to improvements in the management of pancreatic cancer, including better tumor staging, improved surgical guidance, restaging of metastases, and potential drug selection for therapies that target CA 19-9.
What's more, the antibody's high uptake suggests it could be used either by itself or coupled with another molecular compound to treat high-risk pancreatic tumors that are inoperable or metastatic, the group concluded.