
PET scans performed three months after chemoradiation treatment for vulvar cancer can be valuable for predicting overall likelihood of survival as well as the risk of local and distant disease recurrence, according to a study presented on Monday at the American Society for Radiation Oncology (ASTRO) meeting in Boston.
Duke University researchers found that women who responded completely to treatment -- as determined on PET imaging -- were still alive two years later and had no local disease recurrence. On the other hand, women judged via PET findings to have only a partial response to treatment or disease progression were considerably less likely to survive after two years and had a greater chance of local and distant recurrence.

"The advantage is that [PET] is giving us extra information about metabolically active tissue that we would not be able to see by conventional imaging, such as CT or MRI alone," said lead author Divya Natesan, a fourth-year medical student at Duke University Medical Center. "So, post-treatment PET may be useful in assessing treatment response and may identify those [patients] with incomplete response who may benefit from subsequent salvage strategies."
A rare disease
Vulvar cancer is a very rare disease and accounts for only 5% of all gynecologic malignancies. The relative rarity of vulvar cancer makes it particularly difficult to study and may be one reason why there are currently no guidelines from the National Comprehensive Cancer Network (NCCN) for post-treatment imaging, Natesan said.
Previous trials exploring neoadjuvant chemoradiation followed by surgery found a complete pathologic response in approximately 50% of patients and three-year survival rates ranging from 60% to 70%. On the other hand, approximately half of women with vulvar cancer experience disease recurrence or progression.
"So women are at high risk for recurrence, but there are no post-treatment surveillance strategies for them," Natesan told AuntMinnie.com. "There also is nothing in terms of vulvar guidelines that can help us determine who is at highest risk of recurrence or with whom to intervene for subsequent salvage surgeries. That's why PET/CT is increasingly utilized, but we really don't know how prognostic it is for many of these outcomes."
Given that PET/CT has shown prognostic capabilities with other gynecological malignancies, such as cervical cancer, where persistent FDG avidity postradiotherapy is predictive of inferior survival and increased rates of local recurrence, the Duke researchers sought to determine if the modality could have similar competency for vulvar cancer.
Patient sample
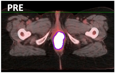
The study included 13 women (median age, 63 years) who had confirmed vulvar cancer ranging from stage IB to stage IVB. All of the subjects had pre- and post-treatment PET/CT scans between 2007 and 2015. The researchers excluded patients who had surgical resection or palliative radiation, as well as women with melanoma or those who had incomplete medical records.
All 13 patients were treated with intensity-modulated radiation therapy (IMRT) for their primary tumor at Duke University Hospital. All but one patient received concurrent chemotherapy.
Natesan and colleagues conducted a quantitative analysis, which included maximum (SUVmax), mean (SUVmean), and median (SUVmedian) standardized uptake values, along with a qualitative visual PET analysis to determine complete metabolic response, partial metabolic response, or progression of disease.
Follow-up PET/CT scans were performed one month after chemoradiation therapy and every two to three months thereafter. A PET scan was also obtained a median of three months after treatment.
Based on the scans, seven patients were found to have a complete metabolic response to treatment, while the other six women had either a partial response or disease progression.
The eyeball test
The patients with a complete response to chemoradiation had a two-year overall survival rate of 100%, compared with 28% for those who had a partial response or disease progression, according to the researchers.
The women with a complete response also had no local disease recurrence after two years, while those with a partial response or disease progression had a two-year local recurrence rate of 72%.
One woman (17%) with a complete response to treatment did experience a distant cancer recurrence after two years, compared with all six women (100%) with a partial response or disease progression who had distant cancer recurrence.
In reviewing the quantitative PET results, Natesan and colleagues noted that all SUV metrics decreased from pretreatment to post-treatment scans, but none of the numbers prior to chemoradiation treatment were related to clinical outcomes. One worthwhile indicator was that post-treatment SUVmax of the primary tumor was associated with local recurrence.

Encouraging results
"In conclusion, complete metabolic response on post-treatment PET is associated with improved outcomes compared with partial metabolic response or progression of disease in women with vulvar cancer," Natesan told ASTRO attendees. "Post-treatment PET may be useful in assessing treatment response, and may identify those with incomplete response who may benefit from subsequent salvage strategies."
Natesan emphasized that the results are preliminary, given the small sample of 13 patients.
"It is difficult to make any definitive conclusions," she said. "It is more a hypothesis-generating study where we think post-treatment PET may be a good way to identify women who are at high risk for recurrence, and maybe we can intervene for them with subsequent salvage surgery or other salvage measures."
The researchers hope to add more patients to this study with a longer follow-up time to better assess treatment outcomes. A prospective trial is also underway, evaluating how well vulvar cancer patients fare based on pretreatment, interim, and post-treatment scans.