
FDG-PET/CT can help differentiate between infection and postoperative inflammation in patients with cardiovascular implantable electronic devices (CIEDs) and direct physicians to more appropriate treatment, according to a study published in the May issue of the Journal of the American College of Cardiology.
The study from the Quebec Heart and Lung Institute found that abnormal FDG uptake helped pinpoint the location of infection, while negative FDG-PET/CT results prompted physicians to treat patients with antibiotics rather than removing devices completely.
In addition, patients with absence of FDG uptake despite an initial suspicion of device-related infection had a good outcome with initial antibiotic therapy alone, suggesting that FDG-PET/CT could help in risk stratification and decision management (JACC, May 2012, Vol. 59:18, pp. 1616-1625).
Lead study author Dr. Jean-François Sarrazin, a cardiologist at the institute, said a definitive diagnosis or confirmation of cardiovascular infection from implanted devices can be challenging.
"At times, [the infection] can be red and it can follow surgery. We never know if it is infected or inflammation; it's a tough decision," Sarrazin told AuntMinnie.com. "Is it just localized to the skin, or is it the entire pocket that is infected? In that situation, we decided to use the PET/CT."
Infection rate
Previous research has found the incidence of cardiovascular IED infections to be 1.9 cases for 1,000 implants per year, according to the authors. The total number of infections is increasing due, in part, to the growing number of implants worldwide.
They also noted that treatment options for cardiovascular device infection can be quite invasive, involving the complete removal of the device's generator and leads. Past studies have shown that removing the leads can lead to major complications in as many as 2% of cases, with a mortality rate of 0.8%.
Sarrazin and colleagues compared three groups of consecutive patients for the prospective study. Group A included 28 men and 14 women (mean age, 62 years ± 17) with suspected infection based on their history, a physical exam, and initial blood tests. All patients underwent FDG-PET/CT for risk stratification, with 22 patients also undergoing a transesophageal echocardiogram. Among the group, 16 patients presented with a symptom of local wound infection, 13 with pre-erosion/erosion, and 10 with bacteremia.
Group B included 11 men and one woman (mean age, 65 years ± 8) with no signs of infection. The subjects were enrolled between four and eight weeks after implantation of an electronic device, and they received FDG-PET/CT scans at a median of 1.3 months after their last cardiac device operation.
Group C consisted of patients with device implants for at least six months who showed no signs of infection. Nine men and three women received FDG-PET/CT scans for other indications, such as work up for lung nodules and staging of cancer.
Imaging protocol
All patients received PET/CT imaging (Discovery PET/CT, GE Healthcare) after eight hours of fasting. PET scans were performed 65 minutes (± 17) after injection of 8.1 mCi (± 1.8) of FDG. A low-dose CT scan with no intravenous contrast was performed simultaneously for attenuation correction and anatomic localization.
The researchers defined positive FDG-PET/CT results as abnormal FDG uptake near the generator pocket and/or along the cardiovascular IED at the generator or the leads. They noted the areas of abnormal FDG uptake and categorized them according to the following regions: skin, subcutaneous tissue, surrounding area of generator, overlying leads, and intravascular/intracardiac.
Upon review of the images in group A, 32 (76%) of the 42 patients with suspected CIED infection exhibited positive FDG-PET/CT results. Abnormal FDG uptake around the device generators was seen in 18 patients (43%), and 18 individuals also had uptake over the leads. Thirteen patients (31%) had abnormal uptake in the superficial skin tissue, 13 in the subcutaneous tissue, and two (5%) within the heart.
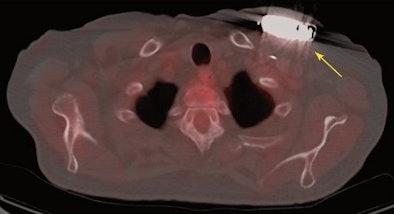
![]() |
| Fused PET/CT image shows abnormal FDG uptake (yellow arrow) posterior to the IED generator and compatible with infection. Image courtesy of JACC. |
In Group B, the 12 patients showed no uptake or mild FDG uptake only at the level of the connector. There also was no abnormal FDG uptake among the 12 patients in Group C.
The sensitivity of FDG-PET/CT for diagnosing device-related infection in Group A was 89% and specificity was 86%, according to Sarrazin and colleagues.
"The sensitivity is very good to look at inflammation," Sarrazin said. "Since we are looking at glucose uptake with the PET/CT, it is quite useful because of the infected cells' uptake of glucose. We will know specifically and exactly where [the infection] is."
As a result of the FDG-PET/CT images, 24 patients with positive results had their implantable electronic devices removed "with excellent correlation between sites of [FDG uptake] and the localization of infection at the time of the extraction," the authors noted. "In 20 patients with confirmed deep pocket infection during the extraction, 19 patients had significant [FDG uptake] in the same anatomical location."
Sarrazin said the study's findings reinforced the facility's protocol for suspected CIED infection.
"We are regularly using PET/CT for these cases," he said. "We had cases that were quite obvious infections, but we still have to confirm our thinking. When it is very obvious that there is infection in the pocket or the device is out of the skin, we do not do a PET/CT, because the diagnosis is clear and it would not be cost-effective."
FDG-PET/CT also has been helpful in determining treatment when the results are negative.
"In patients where we think there is infection and the PET/CT is negative, we have been able to put those patients on antibiotics and they do very well," Sarrazin said. "That is very encouraging because if it is positive, it helps us, and if it is negative, it is also quite useful."




















