
Swiss researchers have found that combined fluorine-18 dihydroxyphenylalanine (F-18 DOPA) contrast-enhanced PET/CT is "significantly superior" to DOPA-PET and contrast-enhanced CT in detecting neuroendocrine tumors.
Based on the additional information DOPA-PET/CT provided, researchers changed therapy for 26% of the patients in the prospective study and concluded that DOPA-PET/CT has the potential to further improve staging and therapy in patients with neuroendocrine tumors.
Delayed detection
"Neuroendocrine tumors are mainly localized in the gastrointestinal tract and their detection is often delayed, so we often see patients who are already in a metastasized stage," said lead author Dr. Patrick Veit-Haibach from the department of radiology and nuclear medicine at Lucerne Cantonal Hospital. He presented the study results at the 2009 annual RSNA meeting.
The researchers evaluated 65 patients (35 females, 30 males) with a mean age of 56 years, ranging from 16 to 80 years. Mean follow-up time was 13 months, ranging from two to 26 months.
Patients fasted for four hours prior to their imaging exams. Initially, the researchers injected a relatively low dose of 200 MBq of F-18 DOPA and gave patients oral contrast media during the 45-minute uptake time.
The researchers first performed a low-dose attenuation correction CT scan, followed by PET imaging in two-minute bed position acquisition times. Contrast-enhanced CT arterial-phase imaging also was done (Ultravist, Bayer HealthCare Pharmaceuticals, Wayne, NJ), followed by a CT scan with a 70-second delay for the portal-venous phase, using dose modulation on all patients. CT imaging was performed on the PET/CT system's 64-slice CT module (Discovery VCT, GE Healthcare, Chalfont St. Giles, U.K.).
Thirty patients in the study were suspected of having developed neuroendocrine tumors based on various clinical symptoms, laboratory findings, or previous imaging, and thus were referred to for DOPA-PET/CT, Veit-Haibach said.
"Thirty-five patients already had in their patient history neuroendocrine tumors and were operated on before or were treated with systemic therapy and came for follow-up or the suspicion of recurrence," he added.
Two dual-accredited radiology and nuclear medicine specialists evaluated the DOPA-PET, contrast-enhanced CT, and combined DOPA-PET/CT data for diagnostic accuracy. They also divided the diagnostic accuracy of the three modalities into lesion-based, region-based, and patient-based analyses, along with a prospective evaluation of how the results would influence therapy. Neuroendocrine tumors were confirmed through biopsy or surgical procedures, with clinical follow-up on 29 patients with a mean time of 13 months.
Tumor presence
The study found no evidence of neuroendocrine tumors in 20 patients during follow-up. Among the remaining 45 patients who had tumors and metastases, 23 patients (51%) had a metastatic neuroendocrine tumor within the liver, eight patients (18%) had a neuroendocrine tumor in the small bowel, and seven patients (16%) had a neuroendocrine tumor of the pancreas.
The images also revealed five patients (11%) with pheochromocytomas, four patients (9%) with medullary thyroid carcinomas, and two patients (4%) with paragangliomas. Several patients had lesions in multiple locations.
In the results for DOPA-PET alone, the researchers found sensitivity to be low at 66%, with specificity at 100%. "The reason for that is there are several non-DOPA-avid lesions, which may be because these patients were partially under medication, or we discovered after surgery that several of those lesions were of lower proliferation," Veit-Haibach said.
| DOPA-PET | Contrast-enhanced CT | DOPA-PET/CT | ||||
| Lesion-based analysis | Patient-based analysis | Lesion-based analysis | Patient-based analysis | Lesion-based analysis | Patient-based analysis | |
| Sensitivity | 66% | 82% | 85% | 93% | 97% | 98% |
| Specificity | 100% | 100% | 71% | 100% | 71% | 100% |
| Accuracy | 67% | 89% | 85% | 95% | 96% | 98% |
| Positive predictive value | 100% | 100% | 99% | 100% | 99% | 100% |
| Negative predictive value | 10% | 79% | 14% | 89% | 42% | 96% |
With contrast-enhanced CT, sensitivity was greater, at 85%, compared to DOPA-PET, but specificity decreased to 71%. He cited false-positive lesions from contrast-enhanced lesions in the liver, which "we thought were neuroendocrine tumors and turned out not to be after surgery."
In the DOPA-PET/CT results, sensitivity advanced to 97% and specificity stayed the same, "because we relied on the CT component more in those cases than on the PET component and this drops the specificity," Veit-Haibach said.
From the images, the researchers detected eight primary tumors. In five of those patients, tumors were not known prior to imaging. Four tumors were discovered in the small bowel, and there was one pancreatic primary tumor.
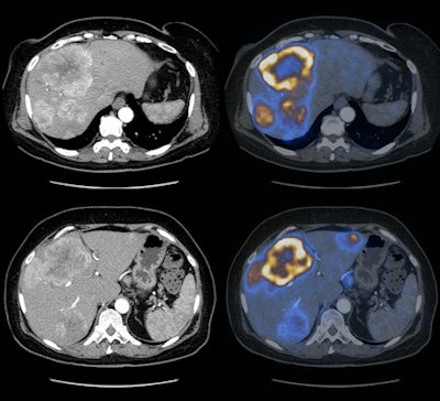
![]() |
| Contrast-enhanced CT (left) of a solid papillary neuroendocrine carcinoma with corresponding liver metastases, compared to the same region with DOPA-enhanced PET/CT (right). Images courtesy of Dr. Patrick Veit-Haibach. |
With the additional information provide by DOPA-PET/CT, which included resection of primary tumors, metastases, and newly found lesions, therapy changed in 17 (26%) of the 65 cases from surgery to chemotherapy. In three cases, planned therapy was spared.
Based on the results, the researchers concluded that DOPA-PET/CT "with contrast enhancement is significantly superior to DOPA-PET alone and contrast-enhanced CT, at least for the lesion-based analysis," Veit-Haibach concluded. "We found the potential for detecting very small primary lesions, and we found in our patient population a very significant therapeutic influence" to better manage patients with neuroendocrine tumors.
By Wayne Forrest
AuntMinnie.com staff writer
January 15, 2010
Related Reading
DOTA-NOC PET/CT raises the bar in neuroendocrine imaging, April 27, 2007
Two studies define role of molecular imaging, therapy in endocrine carcinoma, September 14, 2006
Endoscopic capsules help pinpoint obscure GI bleeding, September 5, 2006
Copyright © 2010 AuntMinnie.com





















