
More than half of patients on rituximab treatment for lymphoma show F-18 FDG radiotracer uptake in lymph nodes on PET/CT imaging following a second shot of Pfizer's COVID-19 vaccine, according to a group in Egypt.
Researchers led by Dr. Dena Abd El Aziz El Sammak of Zagazig University Hospital in Zagazig noted that the uptake occurs more often in patients who have been on treatment for more than six months prior to the second dose of the Pfizer-BioNTech vaccine.
"Knowing mRNA vaccination-related secondary effects is essential for radiologists and oncologists to prevent false interpretations during diagnostic imaging procedures," the team wrote. The study was published online February 2 in the Egyptian Journal of Radiology and Nuclear Medicine.
Since September 30, 2021, approximately 8.25 million people in Egypt have received one or more doses of Pfizer vaccine, according to the authors.
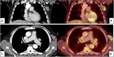
Previous research has shown that enlarged and sometimes painful swollen lymph nodes can occur in cancer patients within days following COVID-19 vaccinations. These cases of vaccine-associated hypermetabolic lymphadenopathy (VAHL) can confound PET/CT findings related to a patient's malignant lymphadenopathy, primarily due to the ability of F-18 FDG-PET/CT scans in detecting "hot" nodes, even if they are normal.

In this study, the authors sought to explore the issue further by investigating the incidence of VAHL in patients undergoing rituximab treatment for lymphoma who received second doses of the Pfizer-BioNTech vaccine.
The researchers reviewed scans of 120 patients at their hospital in Zagazig who underwent PET/CT imaging between October 2021 to April 2022. They included adult lymphoma patients who had scans within one to three weeks after their second dose of the Pfizer-BioNTech COVID-19 vaccine. All patients had been on treatment for at least six months.
According to the findings, hypermetabolic lymph nodes were identified ipsilateral to the vaccine injection site in 66 of 120 vaccinated patients (55%). The authors noted that the incidence and grades of VAHL were higher within the first week following the second vaccine dose than the second and third weeks and that patients younger than 60 years old showed higher incidence and grades of VAHL than those older than 60.
Ultimately, accurate data collection regarding the time and site of COVID-19 vaccinations are important to help radiologists in identifying the cause of abnormal lymph node FDG uptake, the authors wrote. As in previous studies, they recommended scheduling F-18 FDG-PET/CT imaging for lymphoma patients at least three weeks after their second dose of the Pfizer-BioNTech vaccine. This step can help avoid additional patient anxiety and potentially unnecessary biopsies, they added.
"Radiologists' awareness of VAHL is important to prevent FDG PET/CT misinterpretation," the authors concluded.